大脑镰ct

额部大脑镰右侧不规则等t1,等t2信号占位,信号不均匀,内有留空血管影
图片尺寸1945x2373
注意掌握正常大脑镰的表现
图片尺寸900x495
头部ct:大脑镰前部,鞍上池及双侧侧裂池内可见线样高密度影.
图片尺寸1081x1499
ct教学入门七大脑镰下疝
图片尺寸1724x1078
湘南学院附属医院-神经外科:右侧大脑镰旁脑膜瘤(1月20号手术(周三)))
图片尺寸887x1920
影像结构正常表现 (1)大脑纵裂池,大脑镰
图片尺寸1080x810
头颅cta示右侧额叶近大脑镰旁可见走形迂曲异常血管团影
图片尺寸2000x2667
易误诊为出血的大脑镰钙化,你会看吗?
图片尺寸640x480
大脑镰旁脑膜瘤 - 好大夫在线
图片尺寸4000x3000
一例额部矢状窦大脑镰旁脑膜瘤手术
图片尺寸2000x2667
讨论:该大脑镰旁脑膜瘤病例因肿瘤靠近矢状窦,窦汇,横窦,术中需高度
图片尺寸2000x2391
门诊查头颅ct:右侧额部,大脑镰旁多发混杂密度影,考虑占位性病变
图片尺寸1600x1200
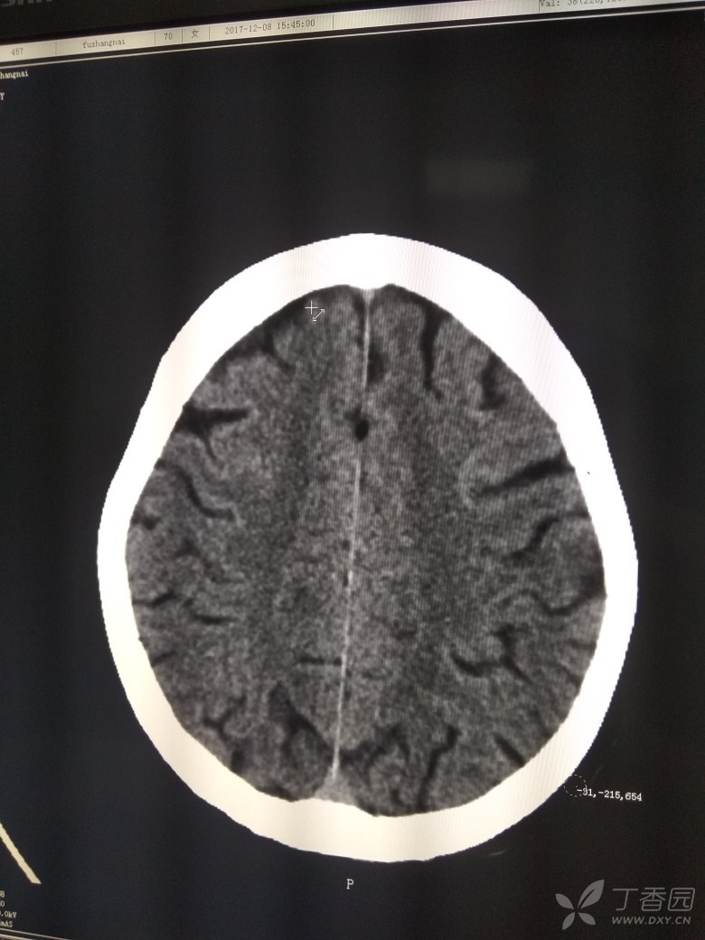
大脑镰低密度影,ct值约-4?
图片尺寸780x1040
枕部大脑镰良性脑膜瘤 - 好大夫在线
图片尺寸2646x2897
脑部ct
图片尺寸3456x2304
湘南学院附属医院-神经外科:右侧大脑镰旁脑膜瘤(1月20号手术(周三)))
图片尺寸1920x887
大脑镰旁巨大脑膜瘤
图片尺寸1200x1600
头部ct图像
图片尺寸999x1200
正常头颅ct
图片尺寸623x693
【劳动最光荣】我是一个大夫,看病人,做手术是本职
图片尺寸600x450