头皮组织切片图

大多数情况下需要借助头皮横切片来综合分析;头皮环钻活检是毛发专科
图片尺寸795x412
人头皮光镜像(低倍) he
图片尺寸288x379
95-头皮示毛囊切片
图片尺寸800x600
bc图11-9 a:头皮光镜图(低倍)a毛干
图片尺寸2048x1536
人类头皮组织切片/crystal zapper
图片尺寸398x279
头皮的组织结构
图片尺寸283x230
正常组织学_沅江市康胜实验用品有限公司_医学标本加工|免疫学切片|病
图片尺寸500x375
头皮
图片尺寸1080x810
人体头部解剖切片孤立在白色背景上
图片尺寸1058x1200
每个学校的切片不同若有歧义以书本为主仅供复习参考不典型的切片不用
图片尺寸1080x895
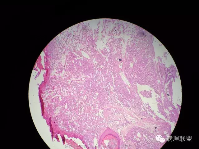
头皮肿物
图片尺寸965x724
▼ 答疑▼ 南医大病理 邓永键教授: 化脓性肉芽肿即肉芽组织型血管瘤
图片尺寸640x480
组胚切片1
图片尺寸1080x996
▼ 答疑▼ 南医大病理 邓永键教授: 化脓性肉芽肿即肉芽组织型血管瘤
图片尺寸640x480
头皮肿物
图片尺寸965x724
头皮··以上为部分切片,全部切片信息详见评论区(本文章图片为 江
图片尺寸3120x4160
注:大脑冠状切片,额叶及颞叶灰质多个cte病灶(深棕色区域)头部外伤与
图片尺寸600x500
头皮肿物
图片尺寸669x620
人皮过毛囊切片(20x)
图片尺寸849x1144
肝小叶·气管·肺脏·肾脏·甲状腺·指皮·头皮··以上为部分切
图片尺寸3120x4160