头颅MRA

几分钟就扫完的头颅mrimra是你想要的
图片尺寸792x478
颅内mra解剖及其分段
图片尺寸800x960
手把手基础教程颅脑3dtofmra扫描及后处理
图片尺寸1080x610
重磅70t磁共振将进入临床正式通过ce认证
图片尺寸645x739
颅内mra解剖及其分段
图片尺寸800x960
术前颈部mra术后复查的颈部mra颈动脉重度狭窄命悬一线9月16日,75岁的
图片尺寸345x348
颅内mra解剖及其分段
图片尺寸800x960
脑mra,血管显影细腻乳腺肿瘤的良恶性可以实现多参数鉴别胎儿颅脑的各
图片尺寸696x629
mra-术前-小.jpg
图片尺寸1000x930
几分钟就扫完的头颅mri mra,是你想要的?_时间_序列_矩阵
图片尺寸1041x630
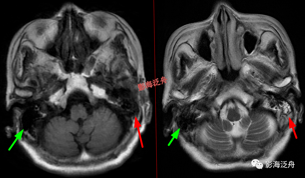
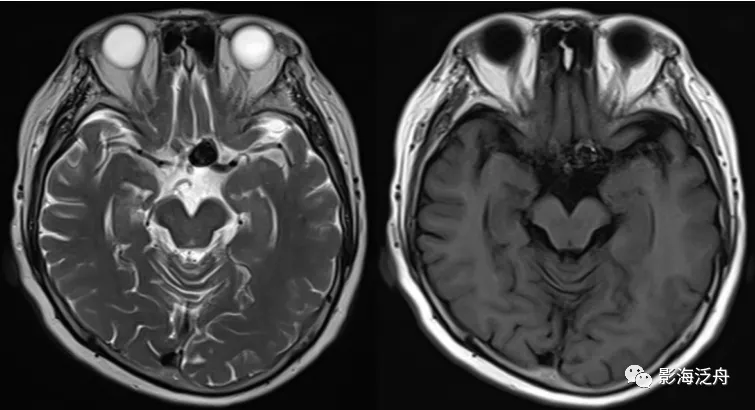
超级干货颅脑mr中易漏诊点全面总结
图片尺寸979x574
入院后做头颅mri mra检查,颈部血管成像(ce_mra)显示右侧颈部c7段结节
图片尺寸1080x877
颅脑核磁示左侧丘脑新近梗死灶;多发腔隙性脑梗死,缺血灶;mra 未见
图片尺寸1080x1002
术后第3天头颅血管mra示右侧额颞顶枕叶及基底节,放射冠,半卵圆帜心
图片尺寸1002x919
什么是颅脑cta和颅脑mra - 好大夫在线
图片尺寸387x378
颅内mra解剖及其分段
图片尺寸800x960
显示左侧侧脑室旁一结节状高信号脑梗死灶;图2 脑血管成像(mra)急性
图片尺寸574x610
从颅内血管mra(下图)可以看出:完善相关检查并综合评估后,脑病中心给
图片尺寸535x745
几分钟就扫完的头颅mrimra是你想要的
图片尺寸1079x770
颅脑mr平扫中极易漏诊的点
图片尺寸755x410