头颅cta图像

术前头部cta示大脑中动脉走形分支区域见增粗动脉血管影,局部呈结节状
图片尺寸640x853
(术前颅脑cta)
图片尺寸692x497
术前头部cta示大脑中动脉走形分支区域见增粗动脉血管影,局部呈结节状
图片尺寸640x853
脑cta图谱基底动脉瘤
图片尺寸869x1066
两天后申请头颅cta检查,cta图像所示:2,双侧眼球轻度突出,双眼内直肌
图片尺寸915x1299
脑cta图谱基底动脉瘤详细解剖及复查
图片尺寸870x1128
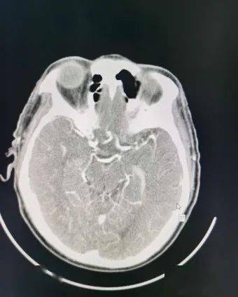
左侧颈内动脉后交通段动脉瘤;诊断:辅助检查:头颅cta示"左侧颈内动脉
图片尺寸756x849
中枢介入第74期cta在脑血管病应用探讨
图片尺寸521x567
脑cta图谱基底动脉瘤详细解剖及复查
图片尺寸1080x1492
陈文伙教授团队专栏丨术前多时相cta影像评估指导t字部双支架取栓1例
图片尺寸1080x883
头部cta轴位,冠状位,矢状位
图片尺寸4160x2336
【高尚病例】头颅cta发现脑动静脉畸形1例【成都高尚医学】_手术_血管
图片尺寸1080x483
仔细阅片cta未见明显引流静脉,考虑右侧脑膜中动脉假性动脉瘤可能更大
图片尺寸640x1135
【头条】锡市一七旬老人颅内出血,生命垂危
图片尺寸1080x1080
头颈部cta具有很强的时间和空间的分辨率,而且具有强大的图像后处理
图片尺寸340x423
什么是颅脑cta和颅脑mra - 好大夫在线
图片尺寸387x378
中枢介入第74期cta在脑血管病应用探讨
图片尺寸660x871
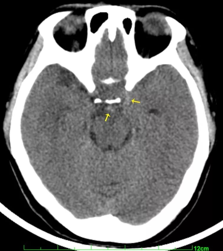
图1 入院后ct平扫提示前纵裂蛛网膜下腔出血cta提示:前交通动脉瘤.
图片尺寸1080x691
脑cta图谱基底动脉瘤详细解剖及复查
图片尺寸1080x1662
另外,在这里也做一下科普,做头颅cta的前一餐需要禁食
图片尺寸1080x996