头颅dwi

头颅mri中不同序列dwi和adc的区别
图片尺寸601x775
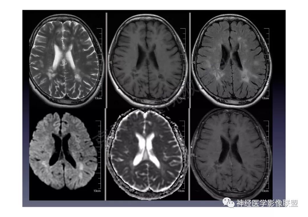
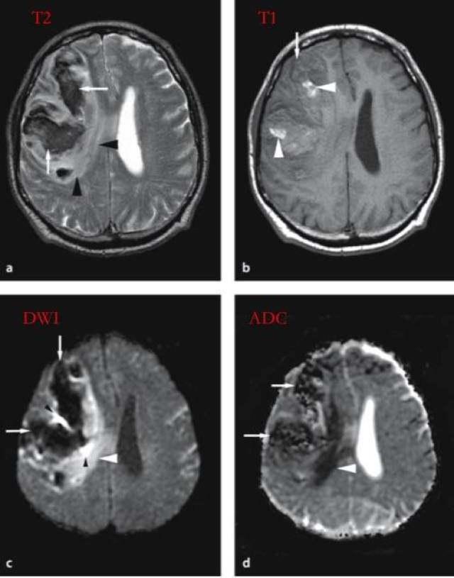
颅内dwi高信号的mri诊断思路
图片尺寸1080x763
头颅磁共振dwi高信号一定就是脑梗死吗?
图片尺寸600x668
【相关专业】一文理清脑梗死 dwi 表现|临床基础
图片尺寸440x367
除了脑梗死dwi还有什么意义
图片尺寸960x2031
头颅mri中不同序列dwi和adc的区别
图片尺寸1080x810
颅内dwi高信号的mri诊断思路
图片尺寸1080x763
脑出血的核磁表现之dwiflair篇
图片尺寸1081x937
脑出血的核磁表现之dwiflair篇
图片尺寸1077x971
头颅磁共振dwi高信号一定就是脑梗死吗?_手机搜狐网
图片尺寸600x643
dwi常见伪影
图片尺寸792x962
颅内dwi高信号的mri诊断思路
图片尺寸1080x763
头颅磁共振dwi高信号一定就是脑梗死吗?
图片尺寸600x595
头颅磁共振dwi高信号一定就是脑梗死吗?
图片尺寸600x682
【相关专业】一文理清脑梗死 dwi 表现|临床基础
图片尺寸510x640
67超急性期大面积脑梗死ct平扫表现
图片尺寸917x632
【相关专业】一文理清脑梗死 dwi 表现|临床基础
图片尺寸502x639
如何发现超急性期急性期脑梗死原创
图片尺寸574x610
磁共振dwi弥散图像的分析
图片尺寸640x480
脑肿瘤的mr dwi和dti诊断和鉴别诊断(一) | 影像天地
图片尺寸640x426