头颅mri

高清颅脑mri最全轴位影像解剖人手一册
图片尺寸660x1167
颅脑mri检查序列及临床应用
图片尺寸640x516
几分钟就扫完的头颅mrimra是你想要的
图片尺寸792x478
经头颅mri平扫及增强扫描结合患者目前右侧肢体无力症状,诊断赵先生为
图片尺寸640x796
正常人脑部mri图像
图片尺寸500x375
几分钟就扫完的头颅mrimra是你想要的
图片尺寸1079x770
这些头颅mri伪影你见过几个
图片尺寸1078x689
诊断:左侧脑室肿瘤(脑膜瘤)头颅mri:左侧脑室占位,长t1,皮层t1混杂
图片尺寸2048x1536
高清头颅mri断层图谱(中英对照 案前必备)
图片尺寸640x647
读片丨女30岁间断性头痛颅脑ctmri
图片尺寸662x816
几分钟就扫完的头颅mri mra,是你想要的?_时间_序列
图片尺寸1041x630
足月儿及婴儿神经系统发育mri
图片尺寸960x720
影像表现:头颅 mri 平扫 增强:a,b 为横轴位 t2wi 和 t1wi,见蝶鞍扩大
图片尺寸762x766
足月儿及婴儿神经系统发育mri
图片尺寸960x720
扫盲头颅mri该如何扫描
图片尺寸792x480
头颅mri矢状位t1相,b.
图片尺寸1080x532
mri颅脑横断面解剖图谱
图片尺寸1080x810
这些头颅mri伪影你见过几个
图片尺寸1080x716
头颅mri入门,易误诊影像
图片尺寸640x511
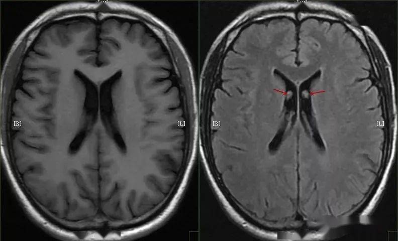
头颅mri如下
图片尺寸1080x1207