奶瓶龋齿

奶瓶龋,又称哺乳龋,是指婴儿睡眠时不断吸吮奶瓶而造成的龋齿,表现为
图片尺寸1200x776
22个月宝宝奶瓶龋门牙掉了一半有什么好办法防止恶化伤到神经
图片尺寸1280x853
宝宝奶瓶龋妈妈知道如何预防吗
图片尺寸720x540
奶瓶龋,谁的错?|乳牙|蛀牙|龋坏|奶嘴|龋齿_网易订阅
图片尺寸560x357
奶瓶龋要怎么补牙呢
图片尺寸600x220
含着奶瓶睡觉牙齿就这样坏掉了
图片尺寸600x800
中度龋坏病例二轻度龋坏病例一有些大约2-4岁孩子,喜欢长时间叼着奶瓶
图片尺寸399x273
妈妈马上带小家伙就医,医生告诉明泽妈妈,宝宝患的是典型的"奶瓶龋齿"
图片尺寸780x452
奶瓶龋是一种婴儿期的龋齿,是由于婴儿在睡眠时不断吸吮奶瓶而造成的.
图片尺寸1267x836
1-6岁的儿童预防龋齿方法-郑州友好儿童牙科
图片尺寸640x427
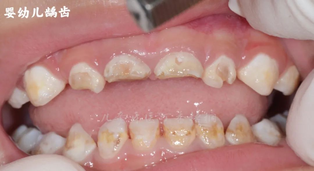
奶瓶龋的成因及预防
图片尺寸1080x684
牙确诊是牙髓炎和龋齿一口牙竟然烂了16颗久而久之形成了"奶瓶龋"原来
图片尺寸1024x686
奶瓶龋怎么办 奶瓶龋齿怎么办
图片尺寸881x502
害人不浅的奶瓶龋家长再不注意孩子牙齿就彻底毁了
图片尺寸591x419
孩子到底几岁要戒掉奶瓶晚于这个时间危害可不止一点点
图片尺寸1080x591
能帮我看一下这个是不是奶瓶龋吗
图片尺寸516x688
奶瓶龋引起的全口猖獗龋
图片尺寸640x480
西班的牙什么是乳牙奶瓶龋
图片尺寸600x440
奶瓶龋和蛀牙儿童牙齿的两大难题我来帮你解决
图片尺寸468x320
如何治疗奶瓶龋宝妈自测宝宝奶瓶龋哪个阶段
图片尺寸450x300