如何看懂肾结石ct片子

泌尿系统结石之肾结石ct表现 - 好大夫在线
图片尺寸512x512
泌尿系统结石之肾结石ct表现 - 好大夫在线
图片尺寸512x512
ct影像显示肾脏被巨大结石霸占.长沙晚报通讯员 胡薇华 陈昊 供图
图片尺寸800x733
x线平片肾区的高密度影ct肾内的颗粒状高密度影磁共振不同成分结石可
图片尺寸660x764
泌尿系统结石之肾结石ct表现
图片尺寸511x512
ct影像显示巨大肾结石(红圈内)
图片尺寸1280x960
病例分享|重视无症状肾结石,定期体检,早发现,早治疗
图片尺寸640x739
同时合并肾脏结石,经皮肾镜碎石同时清除左肾结石,左输尿管结石,手术
图片尺寸1080x1920
泌尿系统结石之肾结石ct表现 - 好大夫在线
图片尺寸512x512
肾结石合并肾积水
图片尺寸680x680
双侧输尿管结石,双肾积水
图片尺寸680x907
诊断肾结石多种检查如何选择
图片尺寸469x475
五个痛风就有一个肾结石长在肾脏上的痛风你该知道这些
图片尺寸1080x738
诊断肾结石,多种检查如何选择?_造影
图片尺寸553x394
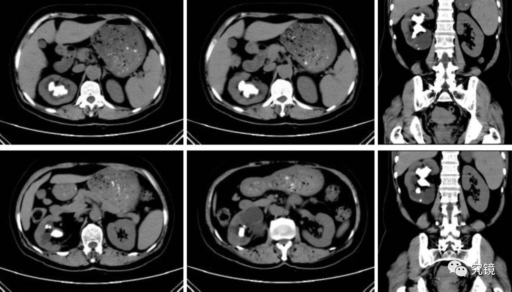
图1.ct提示右肾多发铸型结石
图片尺寸1034x590
泌尿外科主任结合ct图像判断,小可右肾积水伴输尿管结石,因为忍了好几
图片尺寸640x604
(ct及ctu显示左肾铸型结石)03核磁共振(mru)检查核磁共振(mru)检查无
图片尺寸720x408
这类肾脏致密影不是单纯肾结石
图片尺寸1020x1533
被冷处理的沉默结石竟令男子左肾几乎报废
图片尺寸898x673
为什么彩超查不到输尿管结石,ct却查到了?
图片尺寸3120x4160