婴儿牙齿ct

对育儿经历不足,一直躺着吸奶瓶至4岁,出现牙齿反合,配上ct,5岁半做的
图片尺寸2048x1536
360体验——牙齿诊所 五(4)班李项瀚
图片尺寸2667x2000
5岁宝宝的牙齿影像
图片尺寸1080x809
儿童多生牙ct拍摄图片
图片尺寸583x319
x光下的婴儿满脸都是牙?_牙齿_恒牙_乳牙
图片尺寸600x801
婴儿的牙齿骨骼图
图片尺寸440x388
万xx 20210218 多生牙cbct 187xxxx1707
图片尺寸840x459
万xx 20210218 多生牙cbct 187xxxx1707
图片尺寸1080x583
杨xx20200512多生牙ct150xxxx3500
图片尺寸840x459
ct影像显示,一颗牙已横位,另一颗牙齿已缺失.
图片尺寸720x720
病例1:周:教授给我们看一张25岁患者的牙ct,长了52颗牙齿,口腔畸形
图片尺寸640x357
牙,开启了门牙漏风的时代小孩子牙缝大是有原因的,请及时复查x光/ct片
图片尺寸850x458
多生牙ct诊断教案资料
图片尺寸1080x810
李xx20200510多生牙ct151xxxx1712
图片尺寸840x459
我的牙ct求看
图片尺寸1080x810
牙齿矫正术前拍摄口腔ct
图片尺寸500x301
口腔ct让你的牙齿更加健康美丽
图片尺寸854x640
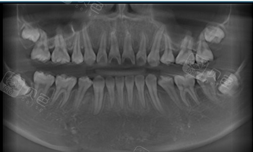
牙齿拍ct一点问题都没有,但是大牙持续疼痛
图片尺寸1080x1439
口腔ct片
图片尺寸1024x529
牙科ct有助于完全埋伏牙拔除术
图片尺寸3968x2976