子宫内膜异位症病理

(妇科相关)韩安家老师-子宫内膜异位症病理新进展(下)
图片尺寸669x494
子宫内膜异位症【中美加卵巢肿瘤病理交流群319】
图片尺寸3968x2976
【痛经的那些事】第一期:子宫内膜异位症
图片尺寸800x600
(妇科相关)韩安家老师-子宫内膜异位症病理新进展(下)
图片尺寸553x397
(妇科相关)韩安家老师-子宫内膜异位症病理新进展(下)
图片尺寸554x398
术后病理:子宫体肌层内见子宫内膜腺体异位,左右卵巢子宫内膜异位囊肿
图片尺寸621x484
(妇科相关)韩安家老师-子宫内膜异位症病理新进展(下)
图片尺寸692x580
子宫内膜异位症罕见病例:无痛便血3个月并不断加重,反复结肠镜检查无
图片尺寸954x638
(妇科相关)韩安家老师-子宫内膜异位症病理新进展(下)
图片尺寸542x396
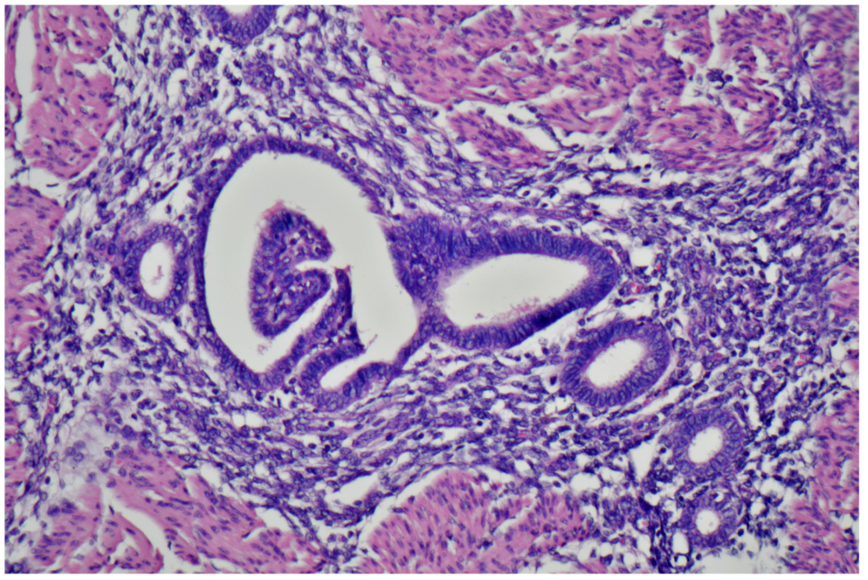
输尿管子宫内膜异位病理图谱
图片尺寸661x496
(妇科相关)韩安家老师-子宫内膜异位症病理新进展(下)
图片尺寸554x393
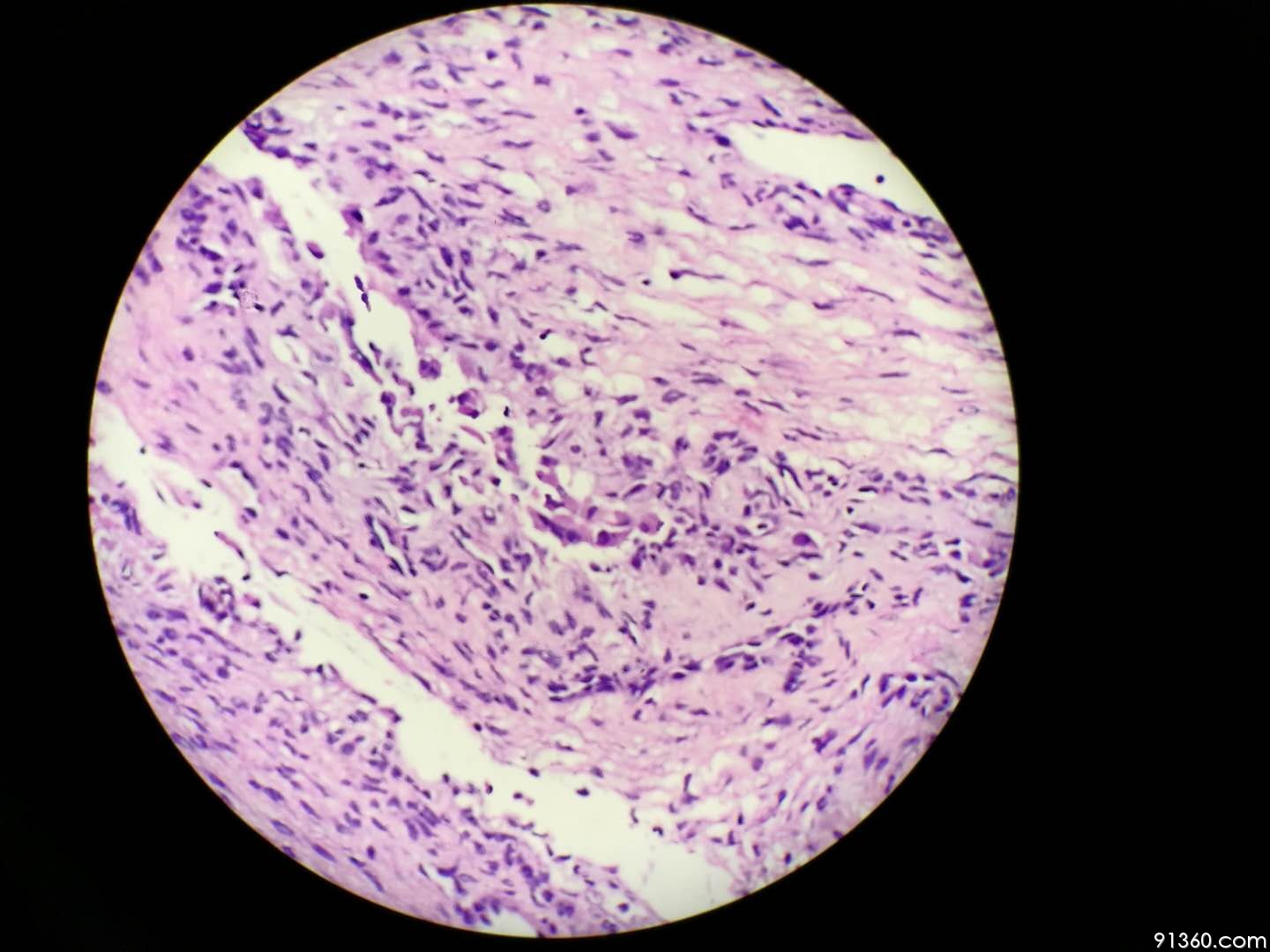
子宫内膜异位症【中美加卵巢肿瘤病理交流群319】
图片尺寸1440x1080
(妇科相关)韩安家老师-子宫内膜异位症病理新进展(上)
图片尺寸692x530
(妇科相关)韩安家老师-子宫内膜异位症病理新进展(下)
图片尺寸554x405
(妇科相关)韩安家老师-子宫内膜异位症病理新进展(下)
图片尺寸531x395
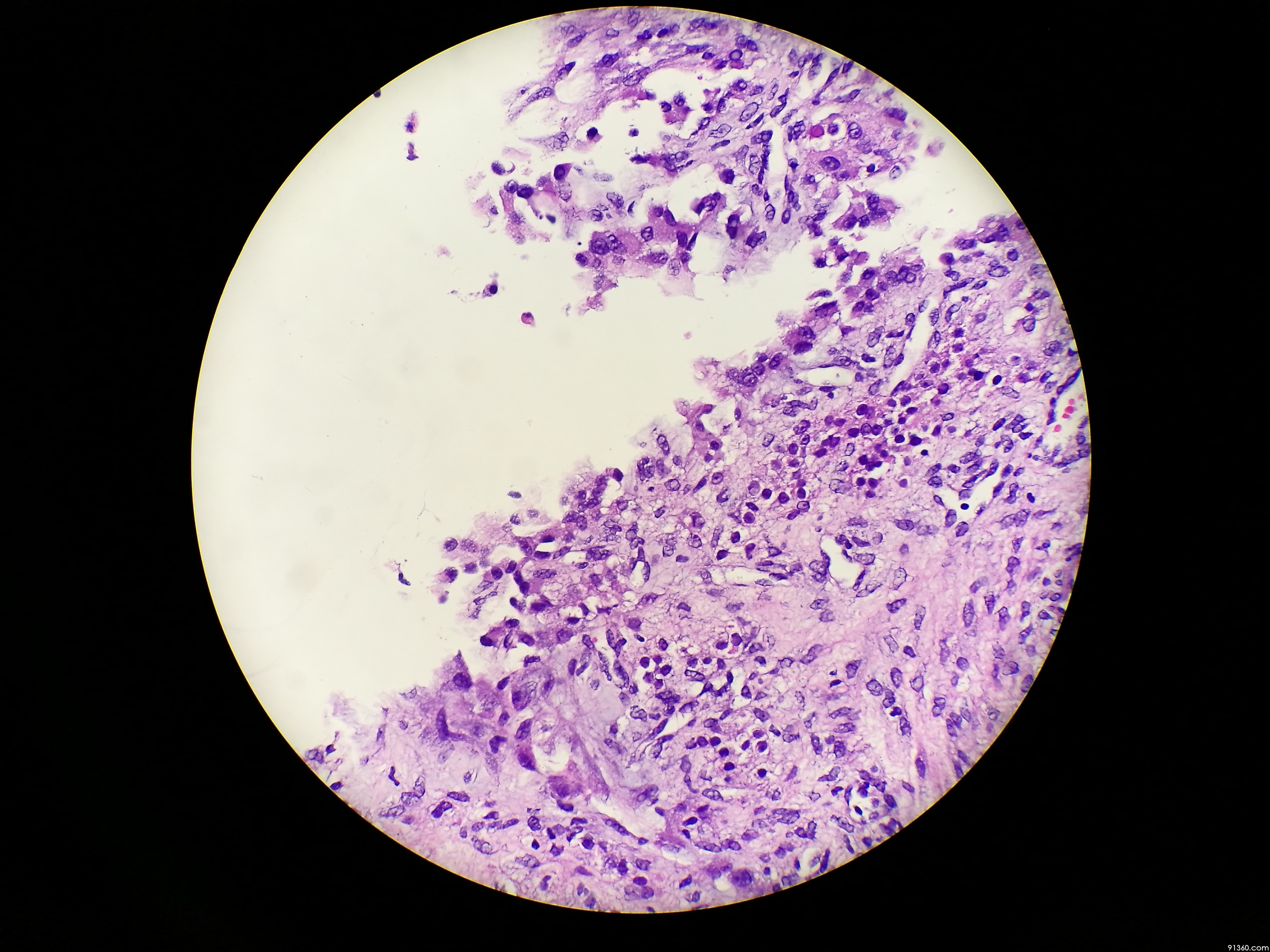
子宫内膜异位症【中美加卵巢肿瘤病理交流群319】
图片尺寸3968x2976
(妇科相关)韩安家老师-子宫内膜异位症病理新进展(下)
图片尺寸553x402
输尿管子宫内膜异位病理图谱
图片尺寸661x493
子宫内膜异位?【中美加卵巢肿瘤病理交流群294】
图片尺寸3024x3024
子宫内膜异位?【中美加卵巢肿瘤病理交流群294】
图片尺寸3024x3024