子宫切口憩室

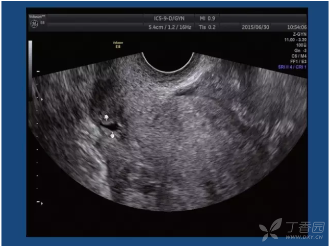
高手进阶:剖宫产子宫切口憩室的超声表现
图片尺寸673x504
子宫切口憩室——不该多出来的空间
图片尺寸640x480
子宫切口憩室:修补术前后的超声特征
图片尺寸853x508
高手进阶:剖宫产子宫切口憩室的超声表现
图片尺寸675x507
手术解析宫腔镜下切除剖宫产术后子宫切口憩室
图片尺寸1080x1920
剖宫产切口憩室一个小洞洞可能惹来大麻烦
图片尺寸333x240
子宫瘢痕憩室图
图片尺寸750x500
手术解析宫腔镜下切除剖宫产术后子宫切口憩室
图片尺寸1080x1920
子宫憩室是什么?剖腹产术后子宫留下一个小洞?
图片尺寸428x240
手术解析宫腔镜下切除剖宫产术后子宫切口憩室
图片尺寸3968x2976
手术解析宫腔镜下切除剖宫产术后子宫切口憩室
图片尺寸742x561
子宫切口憩室的影像学表现
图片尺寸960x720
子宫切口疤痕憩室
图片尺寸1080x695
【镜·界】剖宫产瘢痕憩室手术的过去与现在
图片尺寸350x273
憩室,被定义为子宫下段肌层内的低回声区,这反映了既往剖宫产子宫切口
图片尺寸450x393
子宫上的这个"小洞洞"实在是个大麻烦!
图片尺寸1074x804
手术解析宫腔镜下切除剖宫产术后子宫切口憩室
图片尺寸1080x1920
子宫切口憩室:修补术前后的超声特征
图片尺寸852x443
手术解析宫腔镜下切除剖宫产术后子宫切口憩室
图片尺寸1080x1920
子宫切口憩室不该多出来的空间
图片尺寸360x332