子宫颈切片

组织学与胚胎学(组胚)切片实验实习五(共五)ppt
图片尺寸1080x810
新疆职院教材 子宫腺 子宫腔 子宫内膜 肌 层 外膜
图片尺寸1080x810
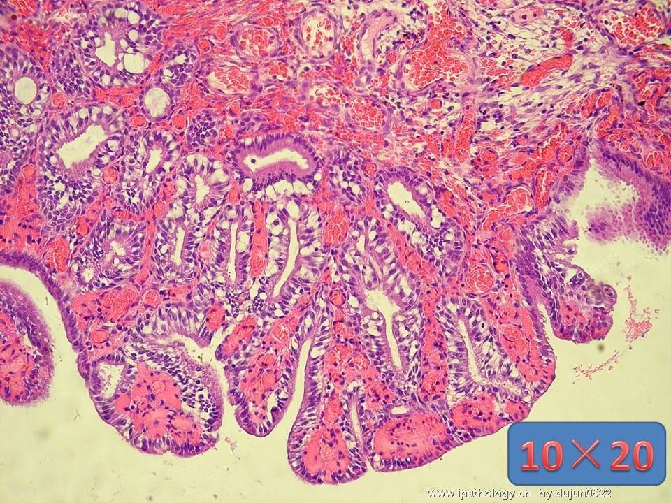
图中是子宫颈与阴道连接部的切片图观察上皮组织的形态特点下列哪一项
图片尺寸890x527
宫颈leep病理解谜 - 好大夫在线
图片尺寸4032x3024
宫颈leep病理解谜 - 好大夫在线
图片尺寸4032x3024
病理切片图片大全1ppt
图片尺寸1080x810
he切片:病史介绍:女,52岁,发现宫颈病变2周,宫颈leep术;leep锥切组织
图片尺寸1073x769
宫颈癌时看到的切片
图片尺寸500x318
宫颈息肉.
图片尺寸960x720
宫颈锥切组织 - 专科病理>>女性生殖 - 华夏病理网
图片尺寸965x724
宫颈锥切组织 - 专科病理>>女性生殖 - 华夏病理网
图片尺寸965x724
分泌期子宫腺 增生期子宫腺
图片尺寸1080x810
病理沙龙|宫颈:sarcomatoid carcinoma; spindle cell carcinoma
图片尺寸640x501
兔子宫整体切片 生物切片 组织学与胚胎学 生殖系统 显微镜玻片
图片尺寸500x438
瘢痕子宫的介绍
图片尺寸566x267
宫颈leep病理解谜 - 好大夫在线
图片尺寸4032x3024
子宫癌子宫癌,光镜照片
图片尺寸450x300
【求助】大鼠子宫切片解读
图片尺寸1500x1125![in situ,ccis)首先由broder于1953年提出,1967年richart[1]认为子宫颈](https://imgs.wantubizhi.com/img/735A5D1F980B52A636CC46F12F2D1A73DD24D77C14B9EA1F233E2F254432504E0A1551B0772FD6616387769ECF9D1A81379A9DAB5C85F4199935FCD273572F2BA2BF9135786A4C0FC1055ED979DD004C6363EE166D83EABFA40575AB27E1229A)
in situ,ccis)首先由broder于1953年提出,1967年richart[1]认为子宫颈
图片尺寸582x363
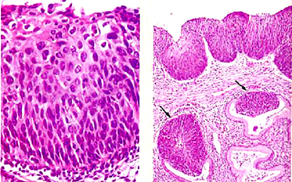
阴道镜示慢性宫颈炎的活检标本,镜检如图所示,该部位的鳞状上皮出现了
图片尺寸441x332