孕囊在子宫位置图片

只要不是孕囊在正常的子宫腔内,均属异位妊娠,也是大家俗称的宫外孕.
图片尺寸660x347
前列腺素使子宫收缩并排出孕囊,整个过程需要在怀孕后49天内完成.
图片尺寸1242x828
受精卵在第5-7天着床,着床已经到了子宫,但是当时还很小,用b超是看不
图片尺寸1130x736
月经|子宫内膜|经期_新浪新闻
图片尺寸700x620
椭圆形的孕囊是生男还是生女
图片尺寸600x450
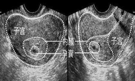
宫腔内的小孕囊.
图片尺寸640x425
孕囊:子宫中的受精卵通过4周半左右的发育,慢慢形成孕囊,刚成形时只有
图片尺寸640x480
还没成型的娃居然在子宫里滑滑梯
图片尺寸840x543
妊娠囊及其在妊娠中的意义
图片尺寸600x400
当受精卵植入到子宫内膜后,就会逐渐成长为孕囊,是被羊膜,血管网等
图片尺寸450x272
什么时候有孕囊(怀孕后多长时间有孕囊)
图片尺寸640x445
孕囊就已经逐渐分化,不同的细胞分化成胎儿不同的器官,子宫在这个月
图片尺寸600x400
空孕囊的症状表现及形成原因
图片尺寸595x403
34 × 15 mm,胚芽长 10 mm,见心管搏动,孕囊位置偏下,靠近子宫峡部
图片尺寸478x298
聚焦超声消融手术可以治疗子宫哪些疾病?
图片尺寸665x579
子宫_宫颈_治疗
图片尺寸489x305
罕见而危险的宫颈妊娠(一)_子宫_治疗_of
图片尺寸640x431
超声表现是什么样的?_胚胎_子宫_染色体
图片尺寸640x479
(子宫内膜厚影响试管吗)子宫内膜厚的影响不止不孕,其中危害你了解
图片尺寸600x310
怀孕到了两个月孕囊偏小怎么办附孕囊大小对照表不妨参考
图片尺寸640x399