孩子长双排牙齿图片

孩子长双排牙危害大,元凶不是糖,竟然是……_儿童牙病_儿童牙病相关
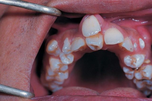
图片尺寸640x410
女童长出"双排牙"吓坏同学,若不注意这个行为,发病率高达30%_孩子
图片尺寸1080x648
孩子长出"双排牙",却是父母惯娃惹的祸,家长都要警醒|乳牙|双排|牙齿
图片尺寸640x442
孩子7周岁,双排牙,怎么操作?
图片尺寸3456x4608
如何预防孩子出现双排牙?拒绝精细喂养,鼓励孩子多咀嚼,多进食 - 抖音
图片尺寸948x696
孩子换牙期长了双排牙怎么办
图片尺寸491x368
六岁男孩长出"双排牙",需要一颗颗拔掉,奶奶自责不已,都赖我
图片尺寸549x621
父母晒孩子双排牙齿,还以为是孩子"发育好",网友:赶紧送医院
图片尺寸729x585
7岁男孩长"双排牙",原因是妈妈的精细喂养,换牙期宝宝要注意_孩子
图片尺寸1998x1336
孩子长出双排牙应该怎么办
图片尺寸500x313
口腔保健知识孩子长了双排牙怎么办
图片尺寸640x452
双排牙是指新长出来的恒牙并未顶替掉乳牙,导致两排牙齿并列的情况.
图片尺寸640x856
美美的姥姥说,平时他们都很注意保护孩子的牙齿,所以很奇怪,为什么
图片尺寸768x1024
孩子长出"双排牙",竟是因吃得太精细-爱问医生-小队长-爱问医生
图片尺寸504x300
儿童双排牙图
图片尺寸750x500
6岁孩子长出双排牙,都怪家长"太勤快"?这种方式,爸妈们要改改
图片尺寸1080x810
8岁男孩长出双排牙必须一颗颗拔掉妈妈的爱成了伤害
图片尺寸640x575
双排牙的意思就是,孩子的乳牙还没掉,新的恒牙就长出来了,造成乳牙和
图片尺寸641x855
父母晒孩子双排牙齿,还以为是孩子"发育好",网友:赶紧送医院
图片尺寸1000x618
8岁小孩竟长出畸形双排牙牙医都是父母的错
图片尺寸640x428