完美的牙齿咬合

标准的牙齿咬合到底是什么样的? - 知乎
图片尺寸3216x2136
什么是正常的咬合
图片尺寸2572x2015
咬合错乱之隐形矫正有哪些优势?
图片尺寸400x266
标准的牙齿咬合到底是什么样的? - 知乎
图片尺寸1536x2048
正常的咬合是什么?
图片尺寸1280x960
遵义牙齿矫正聂嘉曦医生丨牙齿排齐,完美微笑
图片尺寸1024x500
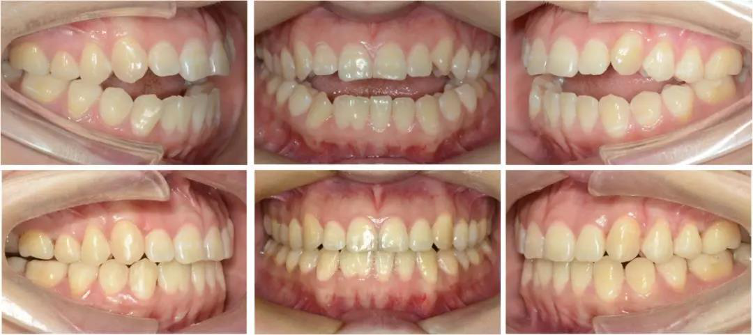
欢悦口腔微种植钉辅助压低后牙纠正开合
图片尺寸1080x481
女生的牙齿排列整齐,严重深覆合的问题完全解除,咬合关系良好,开唇
图片尺寸1134x1506
过度咬合——overbite:咬合时上排牙齿覆盖下排牙齿,其覆盖程度遮盖下
图片尺寸640x350
符合美学标准的牙齿是什么样的?
图片尺寸617x358
术前诊断牙齿咬合有问题?
图片尺寸1280x960
一个简单的微笑,就能醉人心脾;当然,拥有一口洁白整齐的牙齿,就更完美
图片尺寸491x1003
个别内陷牙咬合不正矫正后牙齿超级好看
图片尺寸1284x1712
我把牙齿角度都救回来了,牙齿咬合也做到尖窝交错
图片尺寸720x481
正确的牙齿咬合图是什么样的
图片尺寸1080x720
女24岁,牙齿咬合问题,需要矫正牙吗
图片尺寸490x272
什么是牙齿咬合不齐?咬合问题,自侧一下吧!
图片尺寸690x703
正常的牙齿是怎么样的?
图片尺寸720x405
牙齿咬合示意图
图片尺寸500x297
个别标准咬合. 谢邀. 显示全部
图片尺寸640x425