宝宝牙齿钙化轻度图片

两岁宝宝牙齿这样了怎么办?
图片尺寸1024x765
育儿问答_宝宝树
图片尺寸480x318
儿童牙齿钙化及早发现
图片尺寸500x358
二周八个月,宝宝牙齿怎麼了,好着急呀!大家看看图片?
图片尺寸400x400
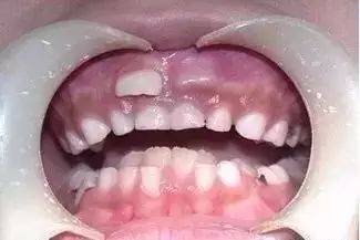
请问宝宝牙齿这样是牙釉质发育不良还是蛀牙
图片尺寸240x320
一岁半宝宝牙齿有个黑洞,还钙化啦!
图片尺寸480x248
自小牙齿不好.帮忙看看,谢谢.
图片尺寸4160x3120
宝宝牙齿出现白斑!妈妈们赶紧了解一下乳牙脱矿
图片尺寸500x344
宝宝牙齿脱矿原来是这么回事
图片尺寸855x518
仔细看看,你家宝宝的牙有这些问题吗?
图片尺寸501x404
儿童牙齿钙化及早发现
图片尺寸500x361
宝宝牙齿出现白斑!妈妈们赶紧了解一下乳牙脱矿
图片尺寸400x300
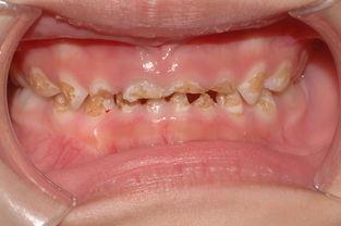
无知妈妈贪一时的轻松, 4岁宝宝牙齿毁掉一半!
图片尺寸313x208
宝宝_牙齿_乳牙
图片尺寸640x480
宝宝_牙齿_乳牙
图片尺寸325x217
为宝宝的牙齿穿上铠甲窝沟封闭
图片尺寸392x209
食物_牙齿_组织
图片尺寸450x436
牙齿_宝宝_细菌
图片尺寸537x368
尔睦口腔科普|宝宝过早长了牙齿怎么办?_情况_处理_小孩
图片尺寸680x397
婴儿几个月长牙齿宝宝长牙大揭秘时间疑难与护理全攻略
图片尺寸640x855