宝宝门牙奶瓶龋齿图片

24月龄宝宝的奶瓶龋保护牙齿不能怠慢啊
图片尺寸900x1200
孩子该如何预防"奶瓶龋"
图片尺寸640x480
如图,是不是奶瓶龋齿,该怎麼护理和治疗?可我是母乳餵
图片尺寸225x400
22个月宝宝奶瓶龋门牙掉了一半有什么好办法防止恶化伤到神经
图片尺寸1280x853
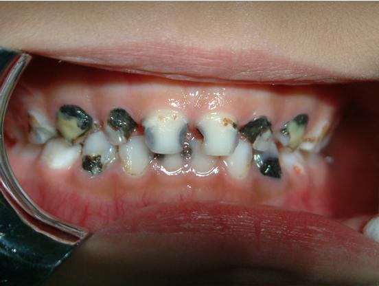
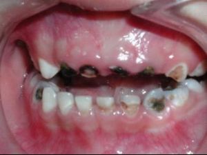
龋齿 /a>,医学上称为奶瓶龋(又称哺乳龋),表现为上颌乳切牙(即门牙)的
图片尺寸300x225
又见奶瓶龋
图片尺寸1656x1080
含着奶瓶睡觉牙齿就这样坏掉了
图片尺寸600x800
奶瓶龋,谁的错?|乳牙|蛀牙|龋坏|奶嘴|龋齿_网易订阅
图片尺寸560x357
三个认为的母乳奶瓶龋两个都不是真龋齿真实原因让人唏嘘
图片尺寸881x502
奶瓶龋
图片尺寸896x1162
宝宝奶瓶龋怎么办,不治疗可以吗?
图片尺寸1000x686
宝宝奶瓶龋妈妈知道如何预防吗
图片尺寸720x540
24月龄宝宝的奶瓶龋保护牙齿不能怠慢啊
图片尺寸900x1200
奶瓶龋是一种婴儿期的龋齿,是由于婴儿在睡眠时不断吸吮奶瓶而造成的.
图片尺寸1267x836
奶瓶龋的成因及预防
图片尺寸1080x684
是指婴儿睡眠时不断吸吮奶瓶而造成的龋齿,表现为上颌乳切牙(即门牙)
图片尺寸1200x776
能帮我看一下这个是不是奶瓶龋吗
图片尺寸516x688
关注牙健康 | 预防"奶瓶龋" 这套攻略要收好
图片尺寸1080x720
龋齿 /a>,医学上称为奶瓶龋(又称哺乳龋),表现为上颌乳切牙(即门牙)的
图片尺寸552x416
奶瓶龋的成因
图片尺寸400x285