实牙

宝宝五周岁了,后面实牙都是牙窟窿……前面门牙有四颗小黑牙……之前
图片尺寸400x400
今天装"大金牙"
图片尺寸799x501
右侧最后面的实牙外侧碎了,怎么办
图片尺寸770x629
其实医生说带牙套吃东西对疗程没有影响的,就是尽量不要吃一些色素重
图片尺寸570x1013
正常放大牙齿解剖牙科磨牙尖牙模型
图片尺寸800x800
金属烤瓷牙实图
图片尺寸735x465
抽烟抽的牙齿黑,这让注重形象的你如何是好
图片尺寸600x391
两颗下牙磕的干干净净
图片尺寸1080x1440
牙齿歪了怎么矫正
图片尺寸604x333
全瓷牙到底能用多久?_清洁口腔_磨牙_牙冠_全瓷牙_美妆_医美整形
图片尺寸1080x791
还是打算开店创业,都可以来美邦铭心美牙培训学校实地考察,免费试听!
图片尺寸1080x1080
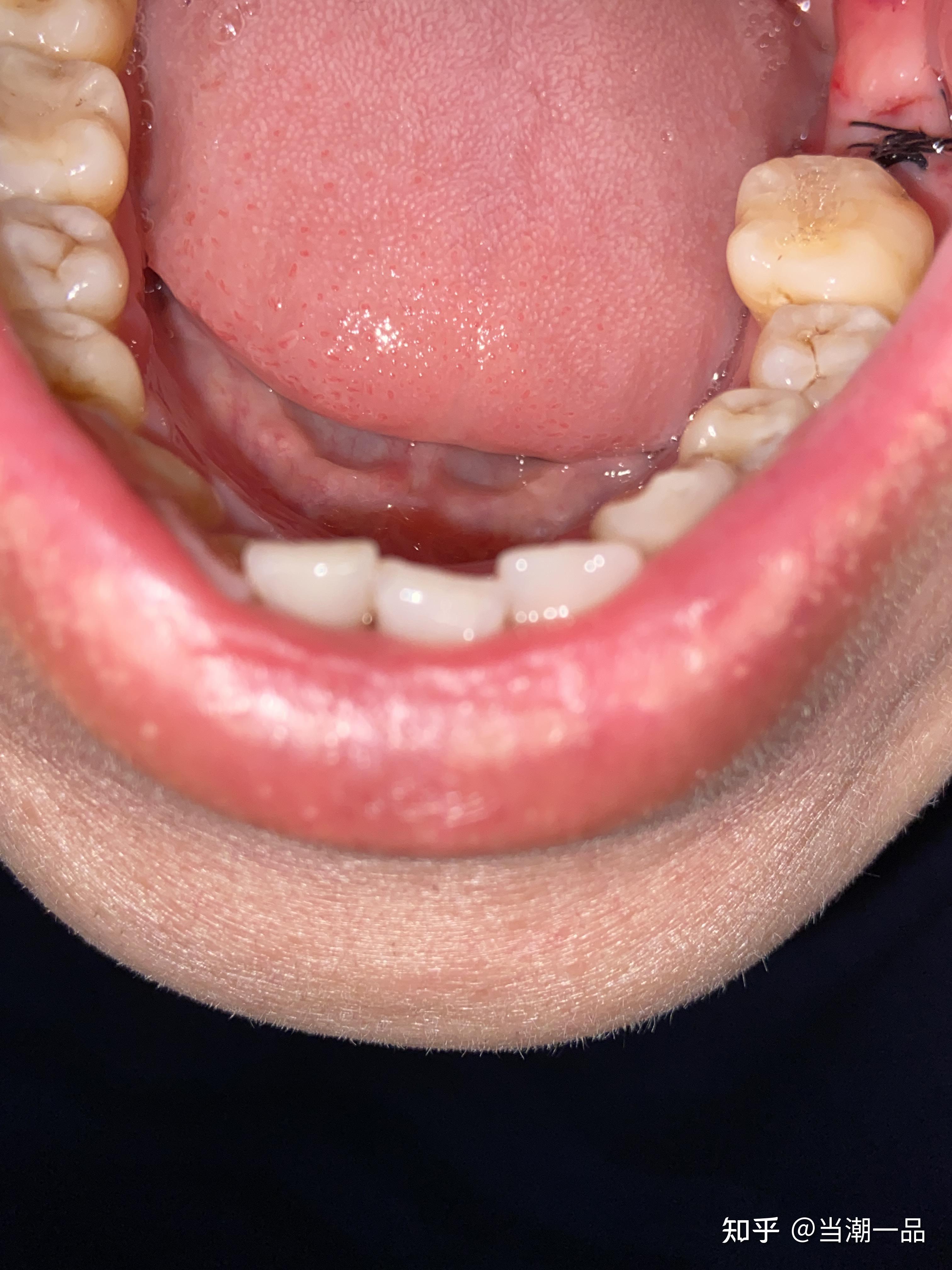
我的种植牙全记录
图片尺寸3024x4032
女儿12岁牙齿矫形实记
图片尺寸1440x1080
乳前牙透明冠修复_乳牙龋齿_医疗健康_医疗健康其他
图片尺寸1080x720
真真实实刷出大白牙科技与狠活达咩74
图片尺寸1080x1439
挂件_牙制饰品_实意小店【7788收藏__中国收藏热线】
图片尺寸768x1024
种植牙期间这10条注意事项要谨记
图片尺寸640x381
为了我的后槽牙能够健康长寿我不得不来到医院取下我的智齿(以下有实
图片尺寸1056x2336
94干货/教程/亲测牙齿美白干货94实_刷牙_牙齿美白_电动牙刷_美白
图片尺寸960x1280
实在,没有过度营销,话很多,跟我说也不是市场推荐满的隐形牙套就一定
图片尺寸720x960