宫内残留物超声表现图

人流术后宫腔残留伴动静脉瘘 - 超声医学讨论版 - 爱爱医医学论坛
图片尺寸1024x768
超声:残角子宫及残角子宫妊娠
图片尺寸640x480
误诊提醒(一):宫内胎物残留 - 超声医学讨论版 - 爱爱医医学论坛
图片尺寸1024x768
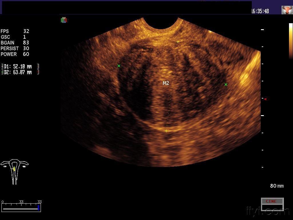
宫内残留物? - 超声医学讨论版 - 爱爱医医学论坛
图片尺寸2560x1920
产后宫内残留 - 超声医学讨论版 - 爱爱医医学论坛
图片尺寸768x576
根据患者既往检查结果及本次超声所见,诊断为左侧残角子宫妊娠
图片尺寸958x677
引产后宫腔组织残留还是淤血? - 超声医学讨论版 - 爱爱医医学论坛
图片尺寸1600x1200
人流或药流后宫内残留 - 超声医学讨论版 - 爱爱医医学论坛 - 爱爱医
图片尺寸720x576
宫腔残留 - 超声医学讨论版 - 爱爱医医学论坛 - 爱爱医医学网
图片尺寸720x576
人流或药流后宫内残留 - 超声医学讨论版 - 爱爱医医学论坛 - 爱爱医
图片尺寸720x576
超声入门贴381--------药流后宫腔内残留
图片尺寸560x420
病理学上包括合体细胞子宫内膜炎,过度胎盘床疾病等,超声表现为宫腔内
图片尺寸640x479
病理学上包括合体细胞子宫内膜炎,过度胎盘床疾病等,超声表现为宫腔内
图片尺寸640x479
病理学上包括合体细胞子宫内膜炎,过度胎盘床疾病等,超声表现为宫腔内
图片尺寸640x479
超声入门贴303药流后两个月宫腔内残留物
图片尺寸768x576
请帮忙看b超单,清宫后有20*14mm稍强回声光团,医生说是残留很小,能随
图片尺寸1600x1200
超声残角子宫及残角子宫妊娠
图片尺寸640x480
病理学上包括合体细胞子宫内膜炎,过度胎盘床疾病等,超声表现为宫腔内
图片尺寸640x479
人流术后一周b超显示有残留,请您帮我结合下图b超看有什么好的
图片尺寸2448x2448
残角子宫及残角子宫妊娠
图片尺寸962x656