小叶性肺炎图片标注

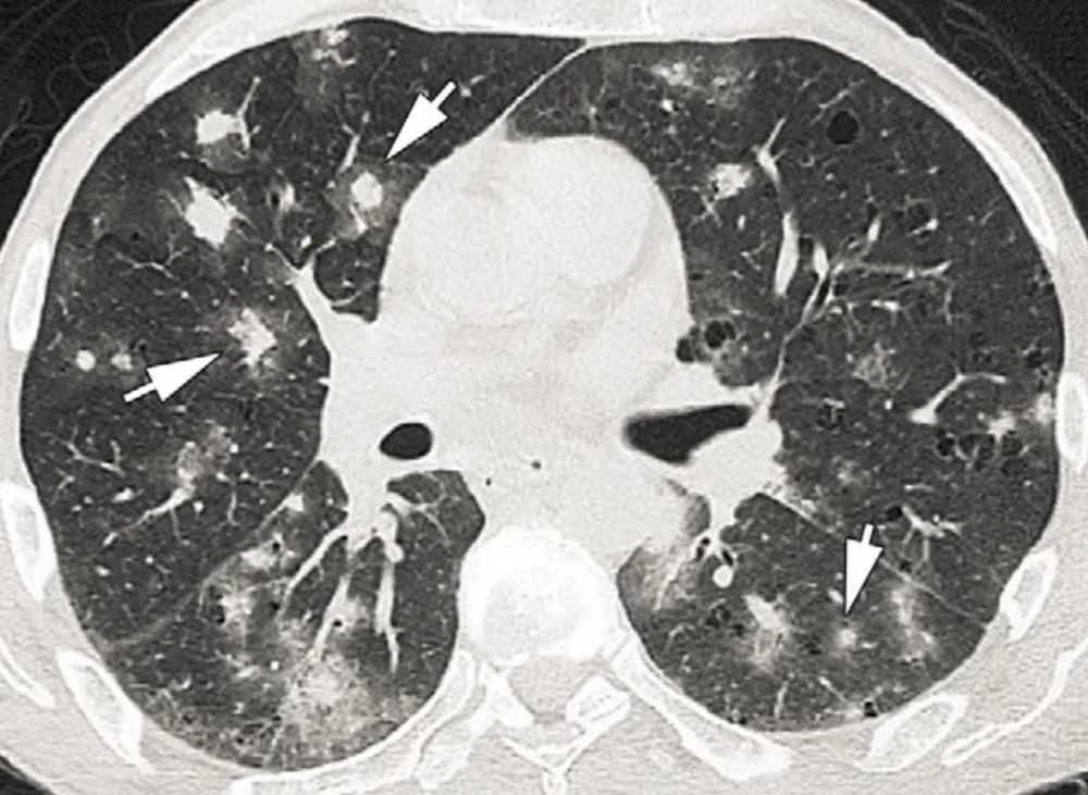
双肺下叶多发树芽征,小叶中心结节灶麻疹病毒肺炎:双肺多发沿支气管
图片尺寸994x1000
一般来说治疗得当的话就能吸收,不影响,不改变肺结构肺炎双球菌(35%)
图片尺寸984x667
小叶性肺炎
图片尺寸320x320
小叶性肺炎:累及细支气管终末细 支气管和肺泡 间质性肺炎:支气
图片尺寸1080x810
小叶性肺炎ppt课件ppt
图片尺寸800x600
周围小叶中心性结节,多发树芽征,支气管扩张等,跟其他的化脓性肺炎
图片尺寸640x395
医学资料,用于学习 小叶性肺炎
图片尺寸1080x810
小叶性肺炎病理ppt
图片尺寸1200x4910
小叶性肺炎:细支气管及所属的肺泡腔内充满大量 中性粒细胞 肺泡腔
图片尺寸1080x810
小叶性肺炎是儿童常见的传染性疾病,好发于寒冷季节,注意保暖
图片尺寸640x417
主要的影像学表现为双侧不对称ggo,小的边界不清楚的中央小叶结节,含
图片尺寸1080x828
小叶性肺炎是儿童常见的传染性疾病,好发于寒冷季节,注意保暖
图片尺寸640x444
支原体肺炎影像分析
图片尺寸960x720
社区获得性肺炎
图片尺寸920x690
病理诊断 小叶性肺炎 lobular pneumonia
图片尺寸1080x810
小叶性肺炎ppt课件
图片尺寸800x600
当然不细支气管和他支配的肺泡,就像几串葡萄所以,小叶性肺炎又叫支
图片尺寸640x383
刘敏:病毒性肺炎的ct影像学特征分析
图片尺寸1000x731
6大叶性肺炎3.7间质性肺炎3.8肺脓肿3.9肺结核3.10肺癌3.11胸腔积液3.
图片尺寸866x556
鉴别诊断细菌性肺炎:小叶性肺炎临床症状与影像同步,常规抗炎有效多
图片尺寸1080x608