小叶性肺炎ct图片

小叶性(支气管)肺炎常见致病菌 假单胞杆菌,克雷伯杆菌,大肠杆菌
图片尺寸2000x1236
金黄色葡萄球菌肺炎,大咖教你看ct片!
图片尺寸1551x1080
2 小叶性肺炎(支气管肺炎) 当病原体侵犯周围呼吸道上皮,引起支气管
图片尺寸514x412
小叶性肺炎,胸片分别为 8 月 19, 8 月 29 摄片, 及同一患者同期 8 月
图片尺寸513x513
呼吸道合胞病毒肺炎:双肺小叶中心结节灶,支气管管壁增厚f58,急性髓系
图片尺寸1000x670
模糊,散在的小片状影,可以融合成大片状,可并发小叶性肺气肿及肺不张
图片尺寸491x324
呼吸 > 详细内容 下图是普通细菌引起的小叶性肺炎,病灶形态单
图片尺寸556x437
双肺支气管肺炎-ct图
图片尺寸700x513
刘敏:病毒性肺炎的ct影像学特征分析
图片尺寸1000x731
双肺下叶多发树芽征,小叶中心结节灶麻疹病毒肺炎:双肺多发沿支气管
图片尺寸994x1000
刘敏病毒性肺炎的ct影像学特征分析
图片尺寸1000x697
医学资料,用于学习 小叶性肺炎
图片尺寸1080x810
2 小叶性肺炎(支气管肺炎) 当病原体侵犯周围呼吸道上皮,引起支气管
图片尺寸954x602
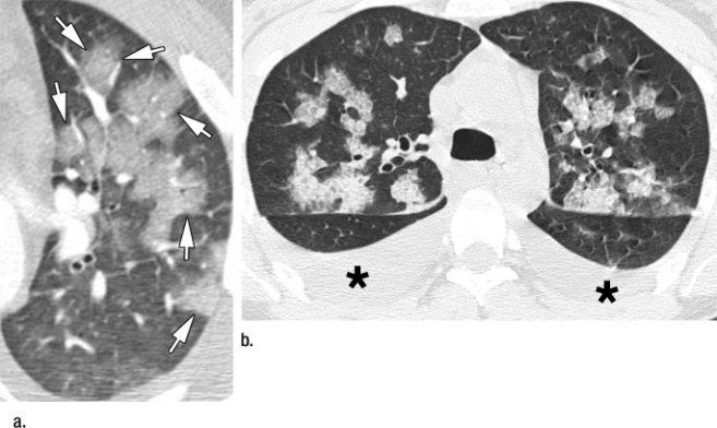
全小叶密度增高-磨玻璃影:(a)hrct 显示小叶性肺炎(支气管肺炎),左肺
图片尺寸657x392
刘敏:病毒性肺炎的ct影像学特征分析
图片尺寸1000x639
教学课件 间质性肺炎 ct片肺窗
图片尺寸1080x810
刘敏:病毒性肺炎的ct影像学特征分析
图片尺寸1000x381
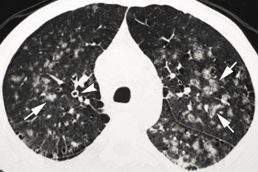
入院第11天的胸部ct图像显示双侧异常,包括小叶间隔增厚(肺尖部;b,箭)
图片尺寸1080x844
在ct上表现有:又称为小叶性肺炎,多见于婴幼儿,老年人及免疫功能损害
图片尺寸410x303
ct表现为双肺弥漫的小叶中心结节.
图片尺寸687x419