小朋友牙齿蛀牙

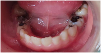
小朋友牙齿上的黑色素能去掉吗?
图片尺寸660x372
六岁小孩满口烂牙,家长你的常识在哪里
图片尺寸1259x972
吃惊!孩子的牙齿竟然是这样一步一步蛀空的
图片尺寸1192x796
孩子满嘴烂牙,罪魁祸首并非只有糖,5种伤牙行为父母要远离|牙齿|满嘴
图片尺寸700x511
儿童蛀牙.非常厉害的蛀牙,首选活髓切断术,保留牙根部分的牙神 - 抖音
图片尺寸1920x1280
5岁宝宝重度龋齿 闻着香蕉味睡一觉 牙齿变好了_麻醉_治疗_口腔
图片尺寸1080x720
小孩子蛀牙可了不得,现在的小孩食品甜度太高了,牙齿都坏了
图片尺寸1710x1280
幼儿牙齿上出现小黑点是蛀牙吗?真相和你想的不一样
图片尺寸754x966
蛀牙其实不难防!做好涂氟麻烦少一半,妈妈少担心_孩子_牙齿_儿童
图片尺寸1044x1344
细心的人会发现,现在身边的儿童一张口,经常能看到牙齿不是黑了烂了
图片尺寸395x207
儿童蛀牙不要拔除,要及时的要正规的口腔医疗机构找到医生把牙齿补了
图片尺寸474x355
幼儿牙齿上出现小黑点是蛀牙吗?真相和你想的不一样
图片尺寸1000x667
小孩蛀牙怎么办5岁儿童烂牙到底要不要补
图片尺寸1709x1878
四岁宝宝有虫牙,应该如何保护宝宝的牙齿健康?
图片尺寸1108x842
宝妈吃了50款儿童零食,找出3款不含糖的,好吃又不怕孩子长蛀牙 - 114
图片尺寸3000x2250
后来在两岁多的时候,孩子就说牙齿疼,带着孩子去武汉市第一医院口腔科
图片尺寸660x495
孩子牙齿上有小黑点,本来几百块能搞定的事,却拖成了大几千|龋齿|乳牙
图片尺寸660x440
为什么孩子每天刷牙,还是有蛀牙?_口腔_家长_牙齿
图片尺寸1200x800
7岁男孩满嘴蛀牙:宝妈崩溃了,一个习惯引发龋齿_李树梅_治疗_孩子
图片尺寸1008x756
给患儿刷牙,偶尔想起来的时候才刷一次,同时家属否认患儿牙齿出现过
图片尺寸1200x900