小细胞癌的肺结节形态

肺结节微创治疗—肿瘤微创mdt团队解决方案
图片尺寸2667x2000
肺部5mm微小实性结节,有可能是恶性程度最高的肺癌_肺癌_症状表现
图片尺寸866x679
这个小结节是肺癌! - 好大夫在线
图片尺寸1486x1871
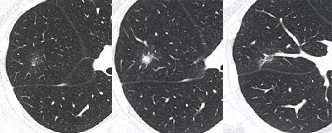
肺结节读片(13):生长极快的小细胞肺癌结节_肺部结节_肺部结节介绍
图片尺寸640x452
肺部小结节我们帮您解
图片尺寸644x509
提示肿瘤的征象:结节形态趋圆球形或表现为月牙征;结节边界清楚,规则
图片尺寸666x268
体检发现右肺结节小细胞肺癌
图片尺寸722x574
从以上肺癌的发生发展来看,"越小的肺结节是良性的可能性越大,不用管
图片尺寸1056x541
这2种肺结节,极易发展成肺癌!
图片尺寸625x357
肺小细胞癌(黄勇)
图片尺寸1395x1054
肺结节微创治疗—肿瘤微创mdt团队解决方案
图片尺寸2667x2000
小细胞肺癌诊断与全身评估
图片尺寸1196x1080
浸润前病变),微浸润腺癌 (mia,浸润性腺癌 (iac),鳞癌,小细胞癌等
图片尺寸1022x1024
4公分的微小结节.(图片提供/台北慈济医院)
图片尺寸600x420
不容忽视的肺小结节
图片尺寸1310x1080
小细胞肺癌诊断与全身评估
图片尺寸1218x1080
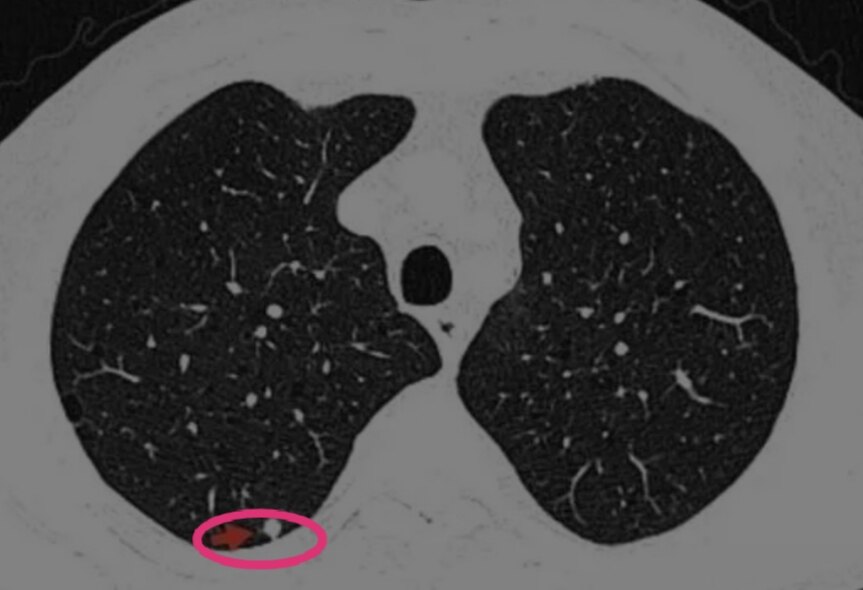
肺部5mm微小实性结节,有可能是恶性程度最高的肺癌_肺癌_症状表现
图片尺寸863x590
肺癌早期,表现为小结节
图片尺寸640x357
磨玻璃肺结节vs实性肺结节谁更可怕
图片尺寸640x480
肺部结节 - 好大夫在线
图片尺寸3456x4608