小肝癌

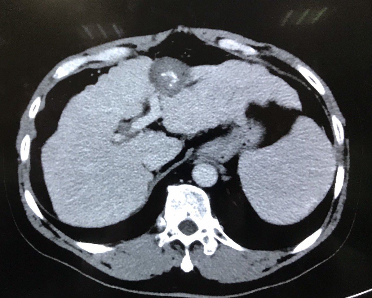
微波消融治疗膈顶小肝癌
图片尺寸1256x960
小肝癌的根治 - 好大夫在线
图片尺寸4608x3456
【共享】小肝癌
图片尺寸800x531
典型小肝癌病例
图片尺寸668x501
影像基础快来看五花八门的小肝癌ct表现
图片尺寸1080x810
小肝癌的ct表现
图片尺寸800x800
小肝癌请大家帮忙看看这个标本
图片尺寸712x960
长了小肝癌哪种治疗方法最好
图片尺寸1440x1080
小肝癌的多学科治疗 陈敏山,徐立,郭荣平 主编 生活 文轩网
图片尺寸800x800
切除的小肝癌标本
图片尺寸640x360
小肝癌该选择手术还是消融? - 好大夫在线
图片尺寸1226x960
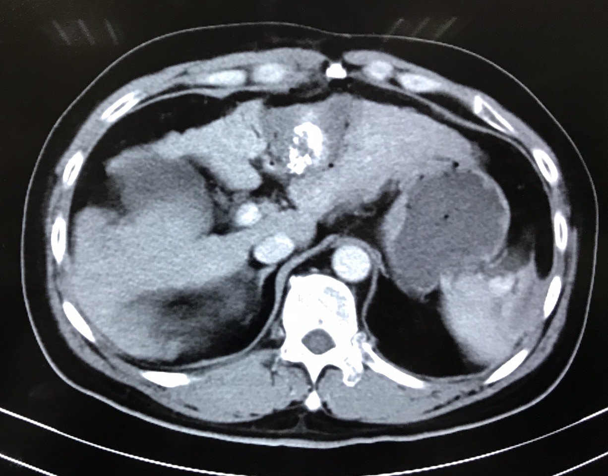
右肝下小肝癌,介入治疗后碘油沉结很好
图片尺寸2927x1650
小肝癌肝细胞癌
图片尺寸721x929
小肝癌手术不一定都简单.
图片尺寸600x450
小肝癌微波消融术可达到根治性外科切除效果
图片尺寸4160x2336
小肝癌该选择手术还是消融? - 好大夫在线
图片尺寸1200x960
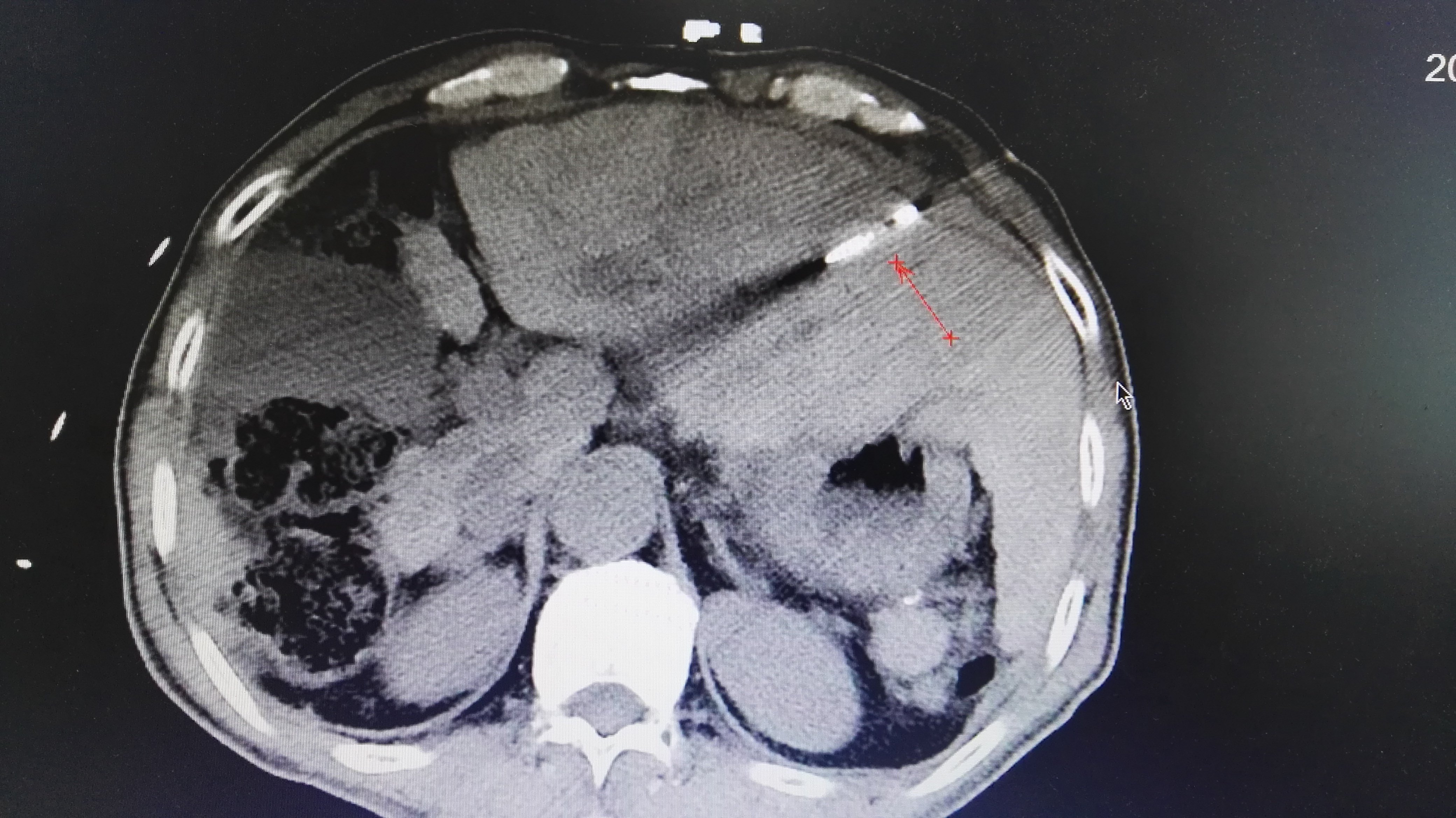
超声ct联合引导小肝癌微波消融治疗
图片尺寸957x534
长了小肝癌哪种治疗方法最好
图片尺寸1440x1080
肝左外叶小肝癌
图片尺寸3120x4160
小肝癌微波消融术可达到根治性外科切除效果
图片尺寸4160x2336