小脑肿瘤

图文详解 | 小脑半球的11类肿瘤
图片尺寸626x597
6种小脑肿瘤的mri表现
图片尺寸640x595
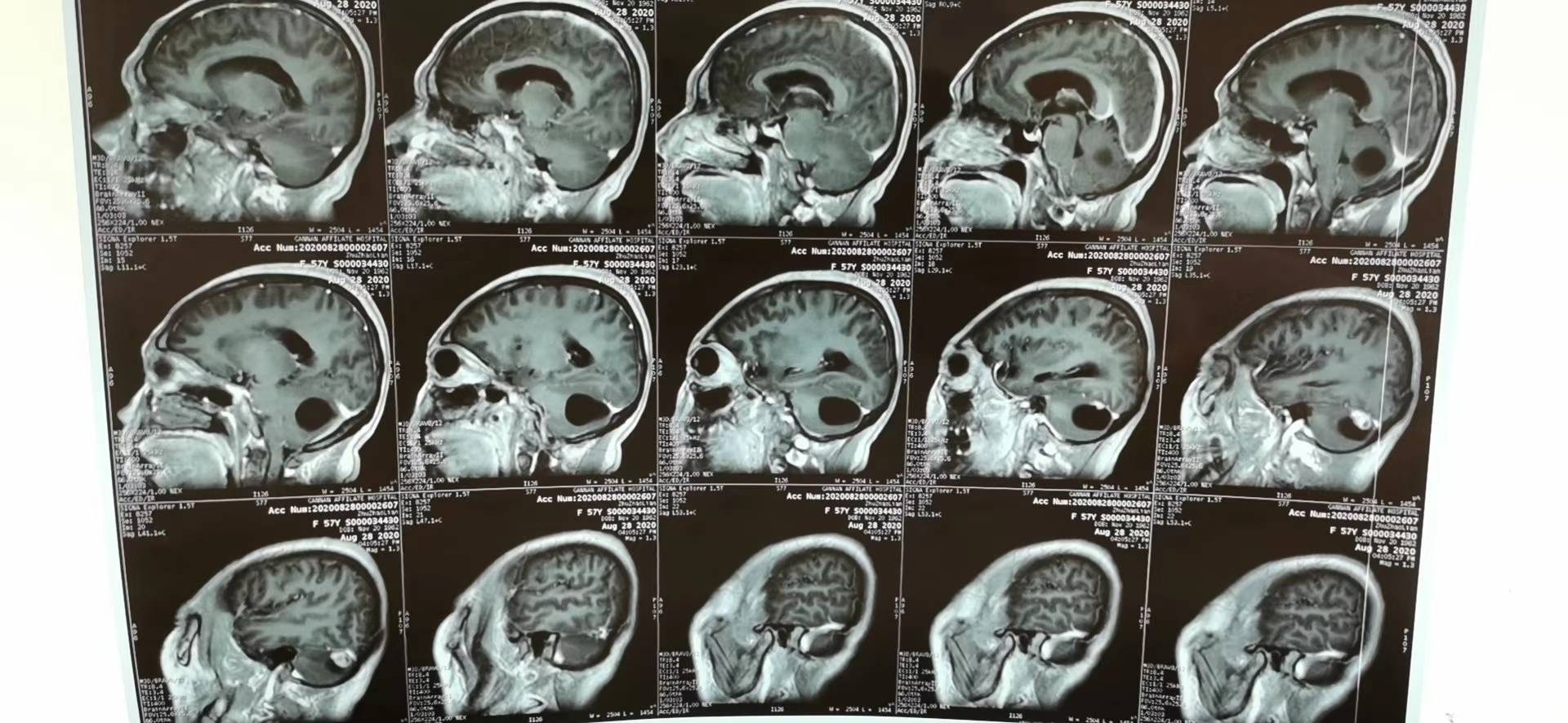
mri影像显示:患者为小脑肿瘤
图片尺寸640x602
形形色色的桥小脑角区肿瘤
图片尺寸1248x1470
听神经瘤是桥小脑角区最常见肿瘤,狭小的空间里不光9610根颅 - 抖音
图片尺寸1919x1231
81岁高龄的桥小脑角脑膜瘤老人,全切手术后4天出院,4年未复发
图片尺寸1440x1625
形形色色的桥小脑角区肿瘤
图片尺寸1697x1930
小脑 !--haodf:8:xueguanwangzhuangxibaoliu-->血管母细胞瘤 !
图片尺寸1079x1164
双"镜"切除脑肿瘤—记瑞金市首例内镜辅助下小脑肿瘤切除手术
图片尺寸1920x886
02.06小脑肿瘤一例 - 好大夫在线
图片尺寸4032x3024
小脑节细胞胶质瘤一例--浙二神外周刊(第115期)
图片尺寸916x695
窦汇旁小脑幕脑膜瘤切除术
图片尺寸2667x2000
小脑脑膜瘤
图片尺寸2219x2953
分享小脑肿瘤一例紧贴延髓原创
图片尺寸4032x3024
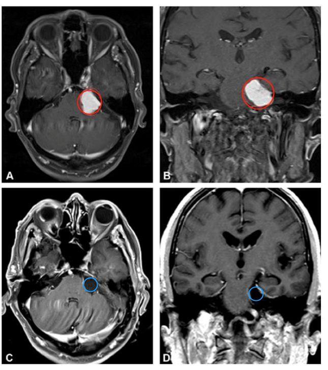
术前冠状位核磁共振显示右侧小脑幕脑膜瘤,肿瘤与横窦,乙状窦关系密切
图片尺寸4608x3456
窦汇旁小脑幕脑膜瘤切除术
图片尺寸2667x2000
老龄患者巨大后颅窝小脑脑膜瘤(直径5cm)全切除一例
图片尺寸1600x626
核磁共振平扫及增强,显示左侧小脑半球巨大肿瘤,边界清楚,均匀强化
图片尺寸1600x643
曲阳县人民医院外三科显微镜下小脑脑膜瘤切除术
图片尺寸2444x2000
瘤体全切手术方式:右乙状窦后入路肿瘤切除术初步诊断:右桥小脑角听
图片尺寸2048x1536