小鼠肾脏

实验十 小白鼠的外形观察与内部解剖
图片尺寸1080x810
丁香园
图片尺寸1280x960
我们的科学家解剖了死亡的小鼠;观察发现肾脏都出现了不同程度的肉眼
图片尺寸1147x470
大鼠小鼠的剖检诊断及组织样品采集
图片尺寸554x483
活动作品小鼠肾缺血再灌注模型
图片尺寸964x602
词条图片
图片尺寸480x480
肾科显微镜下的小鼠肾脏照片
图片尺寸450x300
老鼠解剖实验大鼠小鼠的肉体剖检诊断及有机组织样品采集视频
图片尺寸600x450
具有统计学意义,后续我们对这三组小鼠的肾脏进行了匀浆等一系列处理
图片尺寸1110x1080
(1)全器官展示样品制备03在扫描电镜下观察小鼠肾脏,肝脏等细胞的微观
图片尺寸1000x563
并减少了患病小鼠肾脏囊性负担研究人员现在正寻求与一家制药公司合作
图片尺寸1280x756
造模第 周各组大鼠肾脏外观及剖面的改变
图片尺寸3346x1331
各位朋友,小鼠肾脏石蜡包埋,组织切片时候会看到组织中间有缝隙,会
图片尺寸4000x3000
小鼠肾脏缺血再灌注损伤模型
图片尺寸602x482
56肾切除小鼠慢性肾病模型
图片尺寸1080x969
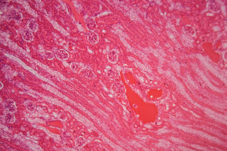
请问一下这两张小鼠的肾脏he染色怎么描述啊?谢谢啦
图片尺寸640x480
【求助】小鼠肾组织he染色,请教各位老师
图片尺寸1920x986
大鼠泌尿系解剖图谱2
图片尺寸877x1088
荧光检测 ly6a-icre /- ; r26-tdtomato /- 小鼠肾脏中 tdtomato 的
图片尺寸1004x610
【求助】小鼠肾组织he染色,请教各位老师
图片尺寸1405x789