尖牙和虎牙的区别图片

小时候虎牙萌,长大后它却害你越来越
图片尺寸458x480
尖牙vs虎牙 这次我pick这颗长得壮又能吃的牙_儿童牙病_疾病介绍_相关
图片尺寸640x215
深圳牙科医院科普丨你的虎牙需要做牙齿矫正吗
图片尺寸393x247
昆山虎牙要怎么矫正
图片尺寸424x250
虎牙其实是尖牙的畸形状态,是错颌畸形的一种,属于牙列拥挤.
图片尺寸1080x1440
注意虎牙可能潜伏有隐患
图片尺寸500x314
牙齿矫正 【导语】虎牙也就是俗称的犬齿,即上颌的两颗单尖牙,它
图片尺寸404x271
虎牙是长在上颌门牙旁边的两颗尖牙,又叫作犬齿.
图片尺寸1000x563
虎牙,指唇侧错位的上颌尖牙,是一种常见的畸形牙,它突出于牙弓之外
图片尺寸331x236
尖牙vs虎牙 这次我pick这颗长得壮又能吃的牙_儿童牙病_疾病介绍_相关
图片尺寸640x855
1 虎牙 在很多国家,牙齿不整齐是被视为缺点的.
图片尺寸419x295
补充一下:所指的"虎牙"学名为尖牙,通常为圆钝型状,当为锐角型时
图片尺寸430x630
尖牙vs虎牙 这次我pick这颗长得壮又能吃的牙_儿童牙病_疾病介绍_相关
图片尺寸640x483
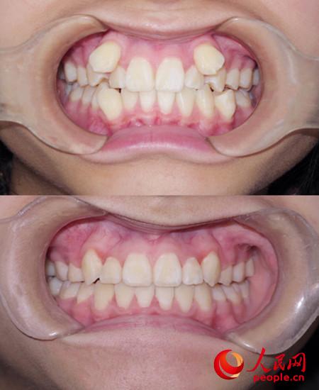
拔虎牙或致变老变丑牙齿正畸是治疗最佳方式
图片尺寸450x550
虎牙,就是从门牙数起的第三颗牙齿,又被称为尖牙或犬牙,大概在十二三
图片尺寸681x293
长的好看是虎牙长的不好看是獠牙71
图片尺寸1080x1403
自洁作用好,不易细菌入侵03支撑口角,颜值担当虎牙上方的骨头叫尖牙
图片尺寸938x438
虎牙也叫犬齿(捂脸),从门牙数起的第三颗牙齿(3号牙),又被称为尖牙或
图片尺寸599x315
虎牙即犬齿,指唇侧错位的尖牙,它突出于牙弓之外.
图片尺寸528x351
虎牙又可以叫犬牙或者尖牙,不少虎牙是因为尖牙位置受到了别的牙齿的
图片尺寸335x353