岩骨尖

岩 部
图片尺寸1080x810
综述岩尖病变的影像
图片尺寸1020x746
头颅ct解剖及诊断ppt
图片尺寸1080x810
dolenc入路解决了海绵窦前部,中部的问题,但岩骨尖阻挡了由中颅底向后
图片尺寸1080x744
图38. 岩尖磨除,注意保护耳蜗.耳蜗轮廓化,其形态争取顺滑,过渡自然.
图片尺寸960x720
岩骨尖部异常请会诊年轻女性头痛
图片尺寸1739x1307
岩骨尖综合征
图片尺寸683x434
解剖图谱(标本)骨
图片尺寸811x768
遇见火山口(漳州牛头山)
图片尺寸3000x2000
第1段:颅内段,长23-24mm 第2段:内耳道段,长7-8mm 第3段:岩骨内段
图片尺寸581x683
kawase硬膜外岩尖切除技术视频详解我的手术学习笔记系列
图片尺寸534x776
首都医科大学宣武医院肖新如经岩前入路磨除岩骨尖的技术要点
图片尺寸365x375
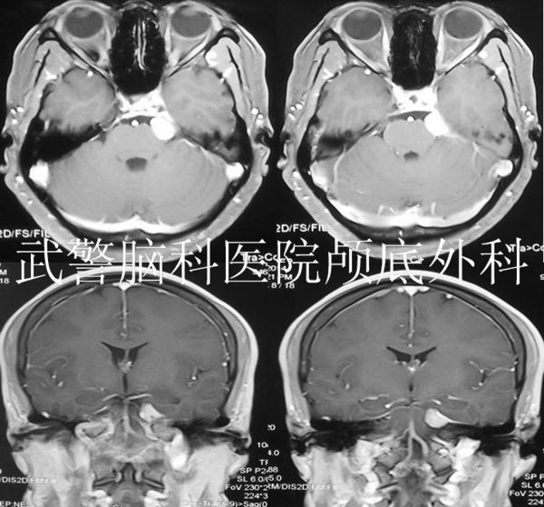
岩骨尖脑膜瘤
图片尺寸600x560
【收藏】全身骨解剖图
图片尺寸447x386
kawase硬膜外岩尖切除技术视频详解我的手术学习笔记系列
图片尺寸500x436
骨头解剖
图片尺寸1058x606
粗糙,三角形,一个,灰色,自然,摄影,单个,环境,锋利,尖锐,毛糙,火成岩
图片尺寸819x817
第1段:颅内段,长23-24mm 第2段:内耳道段,长7-8mm 第3段:岩骨内段
图片尺寸578x683
岩尖胆脂瘤是重疾吗 岩尖部脑膜瘤术后能活多久
图片尺寸300x213
岩尖
图片尺寸1080x1440