左乳

例如,12点对应的是上方,6点对应的是下方,左乳2点指的是左乳外上方向
图片尺寸697x469
左乳mlo位片示,肿块边缘分叶状,见长短不一毛刺,局部皮肤凹陷.
图片尺寸720x252
左乳包块-医联
图片尺寸680x907![查体发现左乳肿物2天 [病例帖]](https://imgs.wantubizhi.com/img/A1A61BAA66193547F3A6DD7D8EE527E9FA4622AAD2AFB956D33FD0BBBEB13B889E99575394D544AE5F20D51CE0D084FF334DCFED7C8F3813D7F2B3B7C20493AB0FDF8815AFECEC18C0071BB65C4AD5307312975DF9ABD17EBF145A248856D13F)
查体发现左乳肿物2天 [病例帖]
图片尺寸1043x1508
左乳肿物
图片尺寸800x600
行乳腺及周围淋巴结彩色多普勒超生检查示:左乳低回声结节,bi—rads 3
图片尺寸640x434
今年春节后,刘女士的丈夫张先生意外发现,自己的左乳也时常胀痛,一摸
图片尺寸457x324
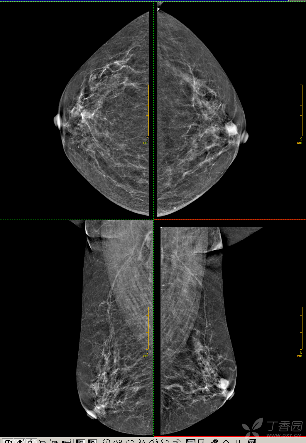
患者乳腺钼靶头足位射片示:左乳不规则肿物.
图片尺寸2108x1200
在十几年前曾做过右乳肿块切除手术,近一段时间,发现自己左乳又有肿块
图片尺寸350x263
左乳四点,右乳八点
图片尺寸720x682
当时的钼靶提示:左乳外上象限区域性弥漫分布多发细小无定形钙化灶,bi
图片尺寸837x1360
钼靶显示左乳结节,边缘清晰
图片尺寸2000x2667![【读片】45岁,左乳上方肿块(有病理) [病例帖]](https://imgs.wantubizhi.com/img/735A5D1F980B52A636CC46F12F2D1A739D938107D5B28C2FEDDAC679D7941AD5F757748BCC16697C048308D1F3794F6D14A6CB57547EC5C278AA47E3C2EEAD8CD3043BDC2DA5BBAD4A72E9DD6C02EE745534BC6E498CB9D9FCCBEA988BA9D67D)
【读片】45岁,左乳上方肿块(有病理) [病例帖]
图片尺寸1935x2080
乳腺结节吃药可治愈吗,左乳低回声结节:3级.
图片尺寸230x175
术后,李女士看着失而复得的左乳,激动地说道:压在心底五年的石头终于
图片尺寸523x542
左乳外上肿块为浸润性导管癌,钼靶所示钙化灶为导管原位癌,钼靶mlo位
图片尺寸776x780
术后压力绷带弹力乳房手术后固定胸带绑带专医用胸部女加压带 左乳术
图片尺寸800x800![【读片】44岁,左乳外上方肿块 [病例帖]](https://imgs.wantubizhi.com/img/A1A61BAA66193547F3A6DD7D8EE527E9C40A0543A4AE606A18B13A12AC019626B47F377B382801F7189961E774711BB92A222465A117353CFF6C38FF745770F1D6B4ED659602A605EBB12D3F9345DC3F91BDBE6A8EC24E45C8787AD3CAB9CECD)
【读片】44岁,左乳外上方肿块 [病例帖]
图片尺寸1875x1846
(17) 写美篇 病灶局部放大图像,左乳外上象限可见椭圆形高密度肿块影
图片尺寸2348x2000
f2020-00880左乳__684.jpg
图片尺寸2448x1920