左肝

肝在身体哪个位置左边还是右边
图片尺寸474x293
医古文肝字密匙肝藏血肝属木肝为罢极之本中西医教材全给偏差了
图片尺寸1080x810
手术切除胆囊后易发肝胆管结石
图片尺寸473x464
肝好,一切都好,肝不好,未老先倒!
图片尺寸750x1000
肝在什么位置图片
图片尺寸1200x1028
剑突下经腹主动脉左肝纵切面 基准切面经下腔静脉肝纵切面:测量左叶
图片尺寸1080x810
肝为分叶脏器,左右分叶,其色紫赤. 疏,即疏通,疏导.泄,即升发,发泄.
图片尺寸1404x1280
男子左肝被"掏空",体内取出虫卵!医生:你还敢这样吃鱼吗?
图片尺寸720x627
体检发现左肝占位3天
图片尺寸469x378
初春养肝,多吃2菜,勤饮3水,做好4件事,肝好一切都好
图片尺寸640x451
腹腔镜下左肝外叶血管瘤切除术
图片尺寸800x600
腹腔镜下左肝外叶血管瘤切除术
图片尺寸800x600
崔医生为你讲解肝脏解剖位置_肝病_疾病介绍_相关疾病 - 好大夫在线
图片尺寸478x320
肝性脑病的饮食
图片尺寸600x400
腹腔镜下左肝外叶血管瘤切除术ppt
图片尺寸1080x810
左肝巨大包虫一例 - 普通外科讨论版 -丁香园论坛
图片尺寸1440x1080
因为前几天我的一位亲属问我是不是左肝右胃,上心下肺,当时听的我是一
图片尺寸640x397
四川左肝小囊肿
图片尺寸301x217
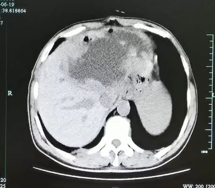
【影像图谱】4,辅助检查:腹部b超左肝实性占位,右肝稍低回声;afp:2.
图片尺寸512x512
一例少见的左肝胆管囊肿的手术治疗
图片尺寸1599x1199