左肺上叶

左肺上叶恶性肿瘤
图片尺寸680x481
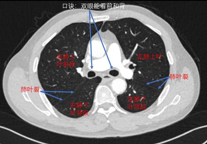
肺位于胸腔,左右各一,覆盖在心之上,并且肺有分叶,左二右三,共五叶.
图片尺寸414x276
呼吸内科资源版 69 肺叶分段的彩图(左侧),相信很多人在找 马上注
图片尺寸477x577
左肺上叶解剖相关知识
图片尺寸1308x904
会移动的肺结节.左肺上叶前段胸膜下肺混合型结节,仰卧位扫描( - 抖音
图片尺寸1440x1512
左肺上叶舌段肺癌——空洞
图片尺寸1080x810
冠状面:左肺上叶上舌段和下舌段.
图片尺寸412x383
左肺上叶解剖相关知识
图片尺寸592x473
左肺上叶舌段胸膜放疗后改变
图片尺寸1080x1439
难者不会会者不难之叶〗肺丨一页手册协和八
图片尺寸1080x726
横断位左肺借斜裂成上,下两叶;右肺借斜裂和水平裂成上,中和下叶三叶.
图片尺寸624x624
左肺上叶解剖相关知识
图片尺寸440x367
上叶后段支气管的层面1首先,我们来看一位患者高分辨胸ct的肺窗连续
图片尺寸1080x742
心脏层面:部分上叶和大部分下叶的各个基底段4肝脏层面:右肺下叶和左
图片尺寸720x503
难者不会会者不难之叶〗肺丨一页手册协和八
图片尺寸1080x726
复习基础知识右肺上叶:s1:尖段;s2:后段;s3:前段.
图片尺寸640x480
左肺上叶解剖相关知识 - 知乎
图片尺寸1428x897
左肺: s4 上叶上舌段 s5 上叶下舌段 s6 下叶背段 第29页
图片尺寸1080x810
左肺上叶解剖
图片尺寸640x498![左肺上叶病变,有病理结果,请会诊! [病例帖]](https://imgs.wantubizhi.com/img/ADDA3C5D760C6828B77B505A29D43E83275356134CC6049F919DFF2925DFEA70CE6201C89DE0441B438CEE5254FB98681B68E00F9DC07EDEF1BFC0E94135ACBBE4D1ECFF2BEB5CD359516341F273771C7DEB6A88D0ABC14D0B2E9D1C68E9293E)
左肺上叶病变,有病理结果,请会诊! [病例帖]
图片尺寸512x512