巨细胞病毒是什么病

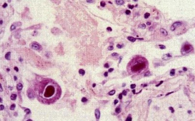
当艾滋病,禽流感,sars逐渐被人熟知的时候,人巨细胞病毒似乎还非常
图片尺寸1018x500
先天巨细胞病毒感染ppt
图片尺寸920x690
了解一下,巨细胞病毒感染_其他_儿童_婴儿期
图片尺寸1080x1080
巨细胞病毒是一种dna病毒,是指可引起先天性宫内感染导致围产儿机体
图片尺寸640x512
第79期i巨细胞病毒究竟是什么
图片尺寸1080x1440
巨细胞病毒感染治疗课件_第5页
图片尺寸1500x1125
医学课件人巨细胞病毒感染ppt
图片尺寸800x600
巨细胞病毒感染巨细胞病毒(cmv)是一种疱疹病毒组的dna病毒,亦称为
图片尺寸575x400
3分钟弄懂巨细胞病毒是什么别再和艾滋病给混为一谈了
图片尺寸800x500
p>巨细胞病毒(cytomegalovirus)是一种 a href="#">疱疹病毒 /a>组
图片尺寸402x250
【连载】1巨细胞病毒感染症的诊治-常见传染病的临床诊治策略
图片尺寸1280x720
先天巨细胞病毒感染
图片尺寸920x690
当艾滋病,禽流感,sars逐渐被人熟知的时候,人巨细胞病毒似乎还非常
图片尺寸815x485
所有分类 医药卫生 先天巨细胞病毒感染09-11-20ppt 巨细胞病毒感染
图片尺寸1080x810
【病毒档案】疱疹巨无霸—人巨细胞病毒
图片尺寸1728x1080
巨细胞病毒经胎盘传播
图片尺寸1200x800
巨细胞病毒,疱疹病毒科dna病毒
图片尺寸1200x800
先天巨细胞病毒感染
图片尺寸920x690
网友热议:亲不是爱!_大宝宝_症状_病毒
图片尺寸650x529
"人类疱疹病毒6型"等和可以导致幼儿急疹的"单纯疱疹病毒",巨细胞病毒
图片尺寸1080x720