巴氏征

康复须知康复科医生必读的神经系统体格检查
图片尺寸906x482
babinski征
图片尺寸220x166
论坛
图片尺寸824x399
张桂莲教授团队专栏·第13期|应用bgc开通进展性卒中
图片尺寸1010x673
神经系统查体(第四部分)
图片尺寸689x491
丁香园论坛
图片尺寸934x574
论坛
图片尺寸3264x2448
论坛
图片尺寸1571x1538
定性诊断应考虑
图片尺寸212x320
引起巴彬斯奇试验阳性的原因是什么?
图片尺寸220x165
脊髓与周围神经损伤讨论
图片尺寸1080x810
丁香园
图片尺寸2048x1536
乙型脑炎隐球菌脑膜脑炎低血糖脑病肝豆状核变性丨3分钟第20期
图片尺寸948x1095
男性反应迟钝10天请诊断
图片尺寸884x345
medlive.cn/upload/000/130/626
图片尺寸440x567
头晕病人的另类思考
图片尺寸2000x2667
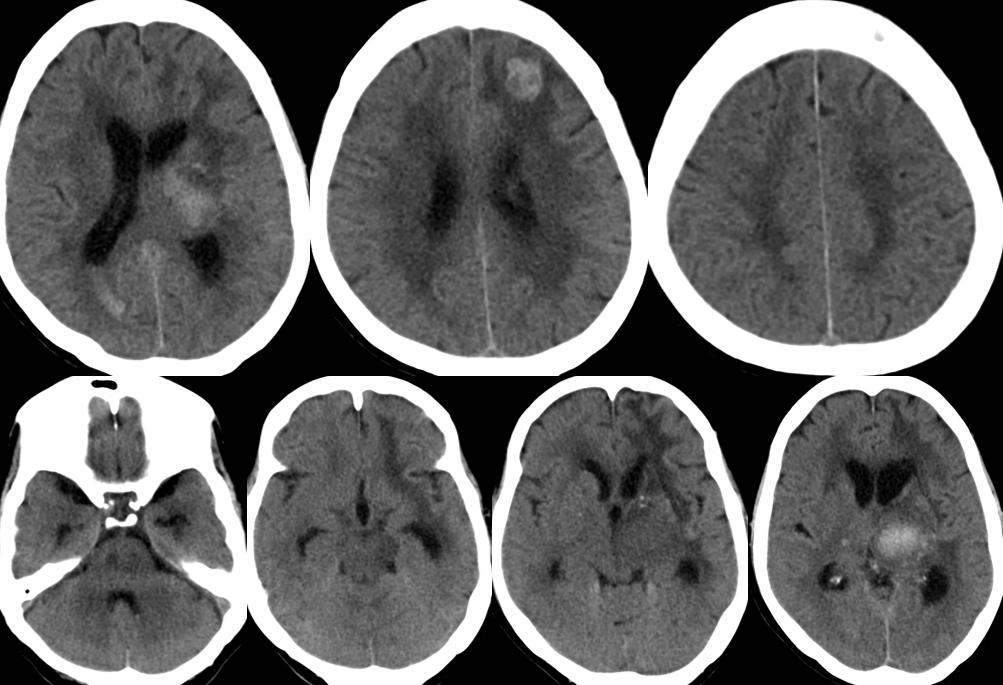
脑出血术后神经重症处理_医学界-助力医生临床决策和职业成长
图片尺寸1003x685
【病例讨论】看图识病9
图片尺寸4208x2368
间断头痛双侧瞳孔正大等圆海绵状血管瘤伴出血
图片尺寸672x672
巴氏征是指巴彬斯基氏征,巴氏征阳性的表现为划脚掌
图片尺寸414x276