带状疱疹会传染吗?

为什么年轻人也会得带状疱疹会传染吗
图片尺寸800x1250
带状疱疹(蛇缠腰),会传染吗?附:相关谣言_病毒_传播_水痘
图片尺寸750x4334
有哺乳期长带状疱疹的吗
图片尺寸1080x1440
带状疱疹有什么症状又会带来哪些困扰
图片尺寸750x927
带状疱疹ppt
图片尺寸1200x4020
年轻人也会得带状疱疹带状疱疹会传染吗
图片尺寸690x1065
山东省立医院疼痛科及皮肤科为您讲解带状疱疹
图片尺寸790x996
年轻人也会得带状疱疹带状疱疹会传染吗
图片尺寸690x1065
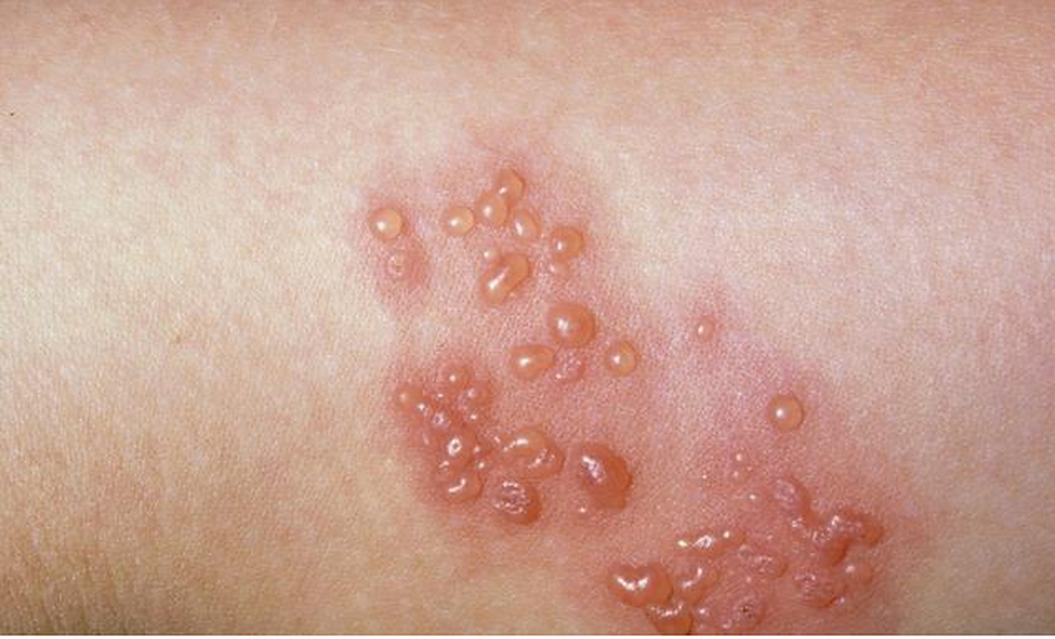
民间常说"缠腰龙,钻心痛","缠腰龙",其实就是医学上所说的带状疱疹.
图片尺寸2113x1280
带状疱疹是有一定的传染性的,因为该疾病的产生跟病毒入侵有关,那些没
图片尺寸1890x1280
带状疱疹精讲版ppt课件_第1页
图片尺寸1500x1125
带状疱疹不得不说的痛
图片尺寸750x1082
亲密接触会传染带状疱疹吗?
图片尺寸690x920
带状疱疹的临床症状有哪些?会传染吗?
图片尺寸1024x768
带状疱疹 带状疱疹症状 带状疱疹多发生在春秋季节,属于急性的传染
图片尺寸830x790
但带状疱疹又不仅仅是个皮肤病,水痘-带状疱疹病毒是一种具有传染性的
图片尺寸1707x1280
为什么会梦到蛇缠脚底(做梦蛇缠脚上是怀孕了吗)
图片尺寸1023x595
带状疱疹——连呼吸都会痛_带状疱疹_介绍_症状表现_治疗方式 - 好
图片尺寸1242x1282
皮肤类——带状疱疹
图片尺寸666x1066
得了带状疱疹会传染给宝宝吗
图片尺寸768x525