干燥综合症图片 早期

干燥综合征患者的口干,程度进行性加重,喝水不能缓解,患者每吃一口
图片尺寸4608x3456
干燥综合症还是免疫力低下引起来的瘙痒
图片尺寸5408x3680
干燥综合征引起的5大皮肤改变,要警惕!
图片尺寸493x657
干燥综合症还是免疫力低下引起来的瘙痒
图片尺寸3680x5408
干燥综合征神经系统损害的调理
图片尺寸497x434
皮肤干燥综合症
图片尺寸2048x1536
干燥综合征是什么样疾病?(上)_聂顺利_主治医师_爱问健康
图片尺寸435x498
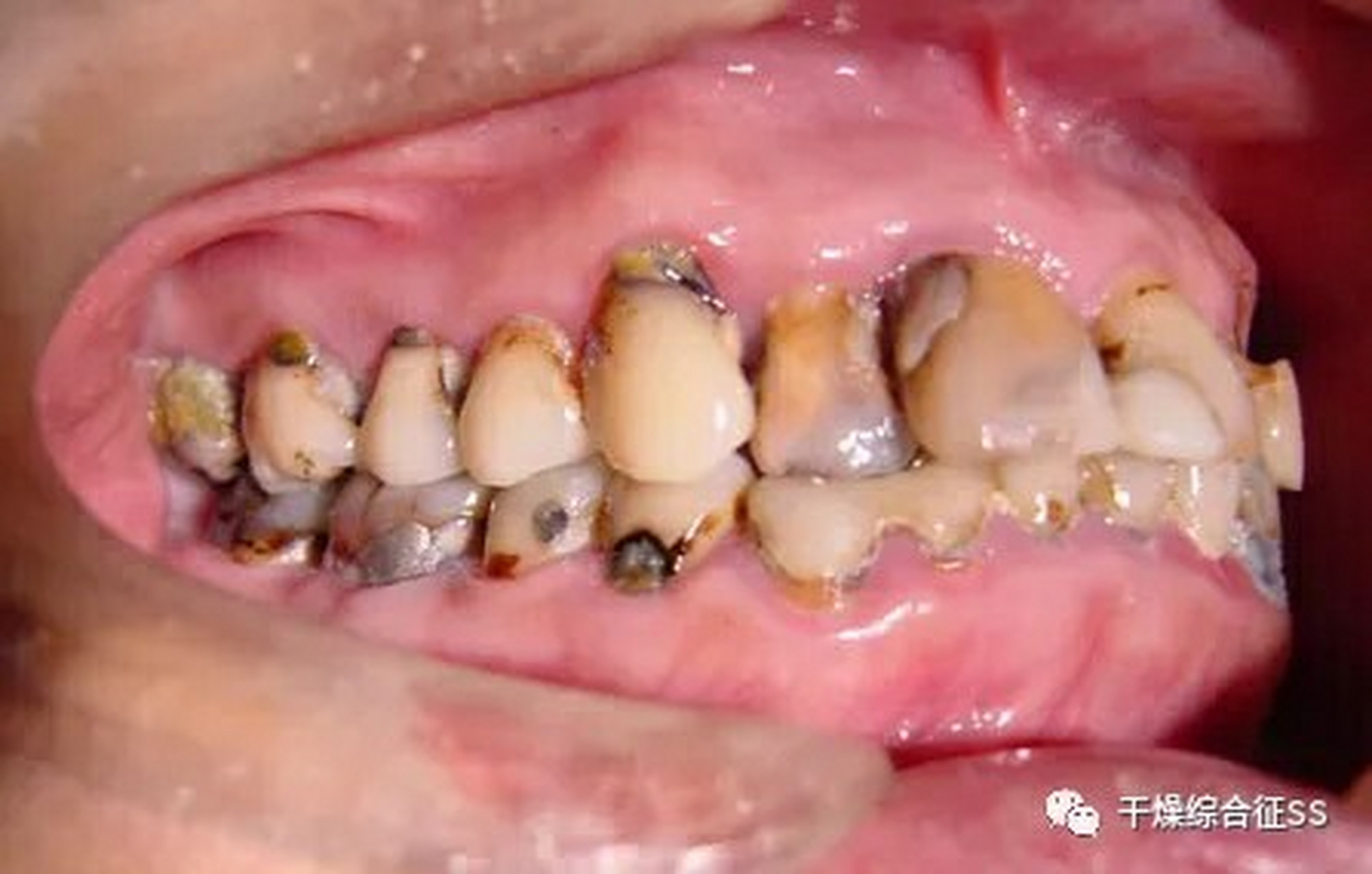
干燥综合症患者的牙保护的还行吧
图片尺寸2048x2048
干燥综合症还是免疫力低下引起来的瘙痒
图片尺寸3680x5408
原发性干燥综合征:揭开"干燥之谜"的科学探秘_疾病_患者_身体
图片尺寸776x861
干燥综合征即舍格伦综合征,以神经损伤为主,如周围神经病变等
图片尺寸1280x960
干燥综合征雷诺症 - 好大夫在线
图片尺寸3456x4608
干燥综合征 光红无苔 #干燥综合征 #中医
图片尺寸720x1280
干燥综合征脸颊干燥脱屑图
图片尺寸400x300
四肢干燥角化过度脱屑丘疹.要排查一下#特应性皮炎# 诊断
图片尺寸960x1280
干燥综合症的治疗方法
图片尺寸800x800
只看皮损,大家认识吗?
图片尺寸2218x3107![【病例讨论】干燥综合征由手术诱发? [病例帖]](https://imgs.wantubizhi.com/img/ADDA3C5D760C6828B77B505A29D43E831F874443D05347B3301AC07731591A48535AE7A98D9AEB02E3747D37D87C0197C4BA94B896951BAA3B6306612A8BBA4BDADFFC042348E500C10F2A95601B612F18A688D4DE113353F3D32A027BB61939)
【病例讨论】干燥综合征由手术诱发? [病例帖]
图片尺寸2592x1944
慢性干燥综合征怎么治疗
图片尺寸432x854
口眼干燥,关节疼痛是干燥综合征主要症状,由于外分泌腺体病变导致唾液
图片尺寸2008x1280