弥漫性肝癌图片

弥漫性肝癌,切除肝脏重量16斤(正常1000克) - 好大夫在线
图片尺寸342x610
弥漫性肝癌,切除肝脏重量16斤(正常1000克) - 好大夫在线
图片尺寸342x610
弥漫性肝癌怎么办?还有救吗?医生强调:以这种治疗方案为主!
图片尺寸640x360![看图识病第 15期:两例典型肝脏弥漫性病变,已给备选项. [病例帖]](https://imgs.wantubizhi.com/img/A1A61BAA66193547F3A6DD7D8EE527E99BC890E12554511056F89032F879395D3D11D164370E523BDFFDFD693C29608C07FD5DE07B3A4AC1905DA9E46E59519CCFD1BC135C1154E2FB5846CF70BDB9BE8B191E533B5661A224976736F60038ED)
看图识病第 15期:两例典型肝脏弥漫性病变,已给备选项. [病例帖]
图片尺寸1147x1096
好好学一下:肝脏弥漫性病变的诊断
图片尺寸971x368
肝脏弥漫性病变的诊断
图片尺寸597x493
肝癌在大病保险范围吗 肝癌是农村大病保险
图片尺寸614x450![【读片】男,68岁,肝脏弥漫性改变 [病例帖]](https://imgs.wantubizhi.com/img/A1A61BAA66193547F3A6DD7D8EE527E938D6427ED28210610690027FC554CA8ECEAE7A529DC2024B189711A0722557C801778E46DAE11C5A1CC66331177F18D00F478FB7B8E7CB0D6A996407E1C9AE9A2D55CD35BC8CB3C4192FAC5566FB6129)
【读片】男,68岁,肝脏弥漫性改变 [病例帖]
图片尺寸2127x1494
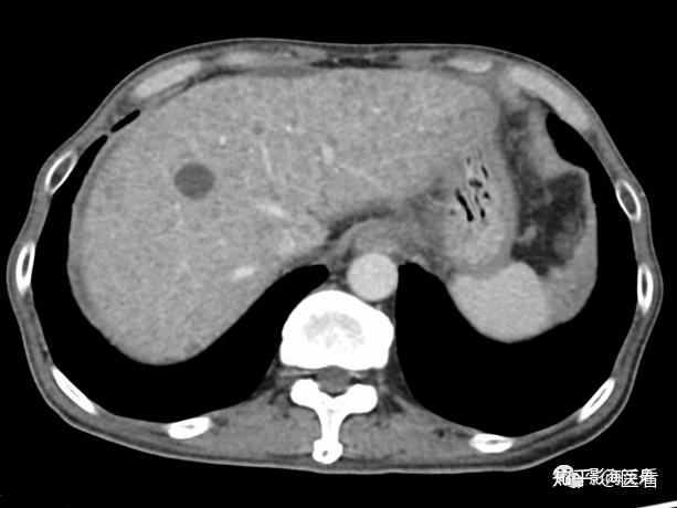
奉献第二例肝脏之典型病例-弥漫型肝细胞型肝癌
图片尺寸512x512![【读片】男,68岁,肝脏弥漫性改变 [病例帖]](https://imgs.wantubizhi.com/img/A1A61BAA66193547F3A6DD7D8EE527E9875C4564798D1C36349CE563B46301513B177B2E811194FE1C97DF6B9651AFF05A7BD1060166CFE2D414C547EEB6096225566CE8ED21D1084425909943E7BB242115117F0F7B847F021C3E5B6B4A7BBA)
【读片】男,68岁,肝脏弥漫性改变 [病例帖]
图片尺寸2103x1478![【读片】肝脏弥漫病变 片子典型 过目不忘 [病例帖]](https://imgs.wantubizhi.com/img/ADDA3C5D760C6828B77B505A29D43E83A494E609DDB3BBD435107CCBA4869744A3B002A367EF3376D5AF484962C3C180D5DCAC3ABA9E14EC22CBC585D24116778EACE90231D5083D8604429E598BF47453C3232C164C5892D11E113211095D82)
【读片】肝脏弥漫病变 片子典型 过目不忘 [病例帖]
图片尺寸1054x704
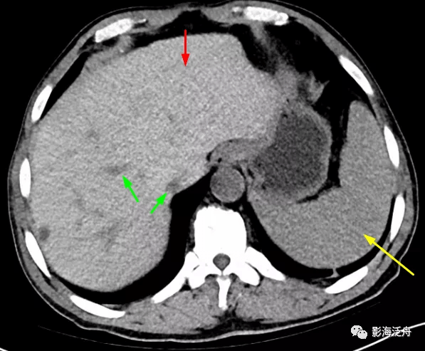
肝脏弥漫性病变影像表现
图片尺寸960x720
好好学一下:肝脏弥漫性病变的诊断
图片尺寸679x533
弥漫性肝癌,切除肝脏重量16斤(正常1000克) - 好大夫在线
图片尺寸610x342![【读片】男,68岁,肝脏弥漫性改变 [病例帖]](https://imgs.wantubizhi.com/img/A1A61BAA66193547F3A6DD7D8EE527E90A393A8336C5D0A2C4D9035298D307FF35955F86501B42D26C5DD38B4EFEC5AAF17B0F29D112C54ADD046F7BDC26661D3BF0AA69577675BD27E7DC0450EA2ABBEF0A3E244BAC16600F0107E8F20A22CC)
【读片】男,68岁,肝脏弥漫性改变 [病例帖]
图片尺寸2208x1483
好好学一下:肝脏弥漫性病变的诊断
图片尺寸681x523
原发性肝脏弥漫性大b细胞淋巴瘤1例mdt讨论
图片尺寸3346x3159
肝脏弥漫性病变的诊断 - 知乎
图片尺寸613x460
弥漫型:癌结节较小,弥漫分布 1.
图片尺寸1080x810
患者肝癌,肿瘤大于5厘米,予以腹腔镜切除
图片尺寸490x653