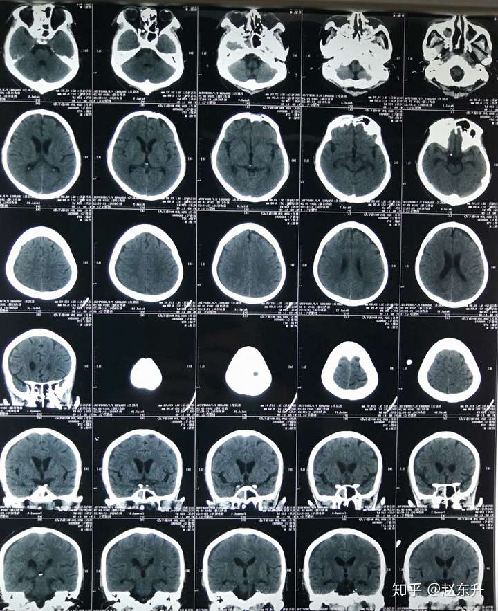
弥漫性轴索损伤CT

弥漫性轴索损伤dai
图片尺寸3072x2304
重度弥漫性轴索损伤
图片尺寸3024x4032
弥漫性轴索损伤ct表现所见!
图片尺寸2200x1650
弥漫性轴索损伤昏迷患者还能醒吗
图片尺寸720x883
重度弥漫性轴索损伤
图片尺寸3024x4032
弥漫性轴索损伤 1 例
图片尺寸615x750
弥漫性轴索损伤——一个我关注了很久的话题
图片尺寸630x718
重度弥漫性轴索损伤
图片尺寸3024x4032
重视儿童弥漫性轴索损伤
图片尺寸1600x1200
病例回顾------弥漫性轴索损伤(diffuse axonal injury,dai)影像学及
图片尺寸1127x764
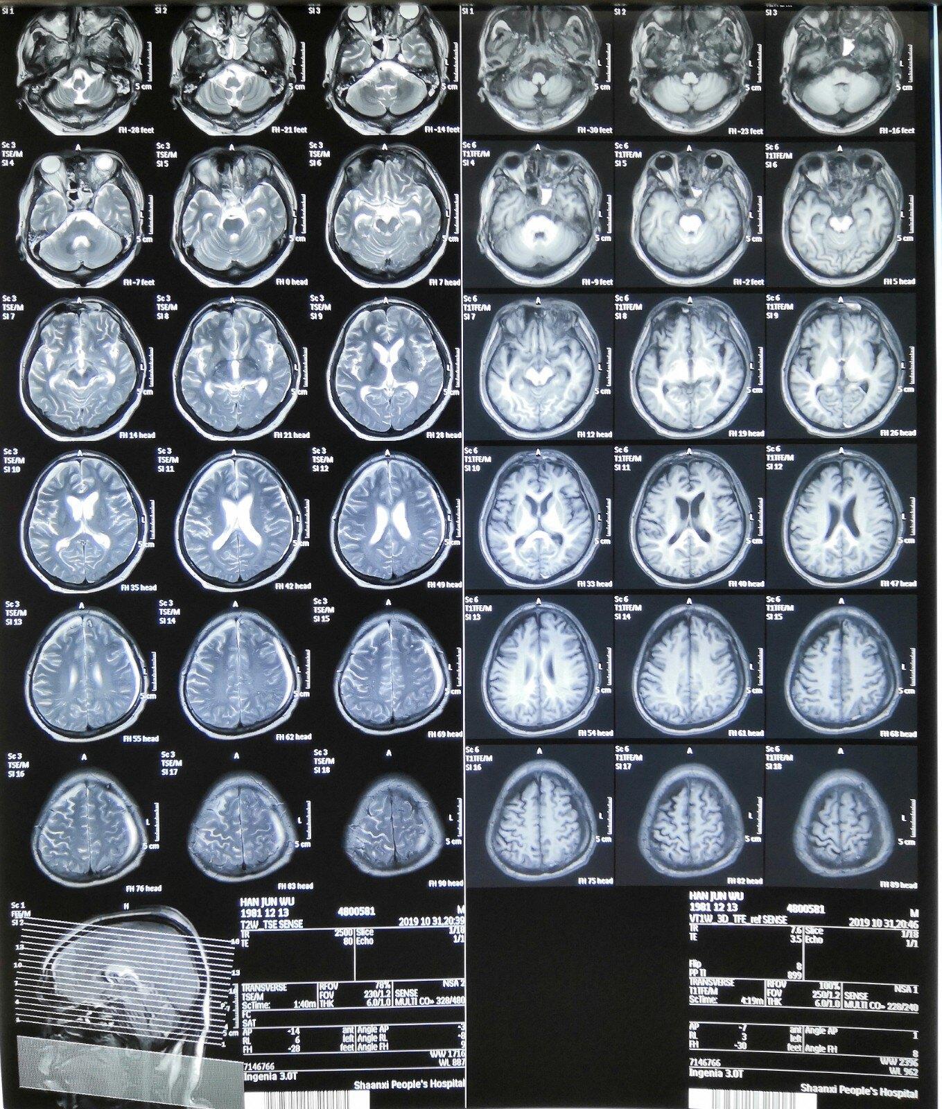
科学网—弥漫性轴索损伤昏迷合并下肢瘫痪怎么办? - 赵东升的博文
图片尺寸1917x1161![【病例讨论】弥漫性轴索损伤?有图有真相! [病例帖]](https://imgs.wantubizhi.com/img/A1A61BAA66193547F3A6DD7D8EE527E9C8F98BD6014986DAA32657FC04A0FC8D7562D09696BFDA6D95E218C02DB5B8DFAFB92A2640B182B5622C821DC2B90A0CC8E6BE45584C847A00F886321BB905EA36CF22E43140175650EFFCA66212470F)
【病例讨论】弥漫性轴索损伤?有图有真相! [病例帖]
图片尺寸863x680
脑外伤造成的弥漫性轴索损伤(dai)是怎么回事?
图片尺寸1120x684
磁共振显示脑组织弥漫性轴索损伤
图片尺寸640x853
弥漫性轴索损伤相关讨论(原创)
图片尺寸3264x2448
突发昏迷:大脑弥漫性轴索损伤
图片尺寸628x800
弥漫性轴索损伤相关讨论(原创)
图片尺寸3264x2448
病例讨论弥漫性轴索损伤
图片尺寸1080x810
弥漫性轴索损伤合并双侧硬膜下积液案例
图片尺寸1953x1464
弥漫性轴索损伤昏迷患者还能醒吗
图片尺寸1359x1600