影像学

影像学-呼吸总论实验.ppt
图片尺寸1152x864
从1例肺隐球菌病探其影像学特征
图片尺寸987x715
影像学读片讲解:腰椎间盘突出症核磁共振如何诊断,主任医师精讲
图片尺寸1024x576
肺间质纤维化影像学表现
图片尺寸640x479
医学影像学中枢神经系统2
图片尺寸1080x1398
轻松读懂肺炎实变的影像学征象│以影识病
图片尺寸1000x450
肺癌影像学表现
图片尺寸960x720
刘敏:病毒性肺炎的ct影像学特征分析
图片尺寸1000x652
医学影像学-许乙凯 王绍武高等教育出版社
图片尺寸500x528
颈部影像学各项检查的适应症及相应优缺点
图片尺寸2400x1800
肺结核空洞影像学表现
图片尺寸1080x608
医学影像网(医学影像学网站)-正华文库
图片尺寸640x377
影像学(ctp)指引下的脑卒中介入治疗——病例2
图片尺寸1018x908
脑积水 影像学
图片尺寸2400x3200
肺癌的影像学诊断ppt
图片尺寸1080x810
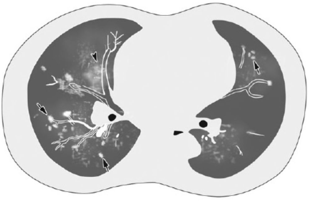
吸烟相关性间质性肺疾病影像学表现
图片尺寸1280x960
正常胸肺部ct影像学
图片尺寸1080x810
医学影像学肺肿瘤纵隔肿瘤
图片尺寸920x690
肺栓塞资料 - 医学影像学讨论版 - 爱爱医医学论坛
图片尺寸4000x3000
胼胝体病变影像学表现
图片尺寸1080x810