心膈角CT

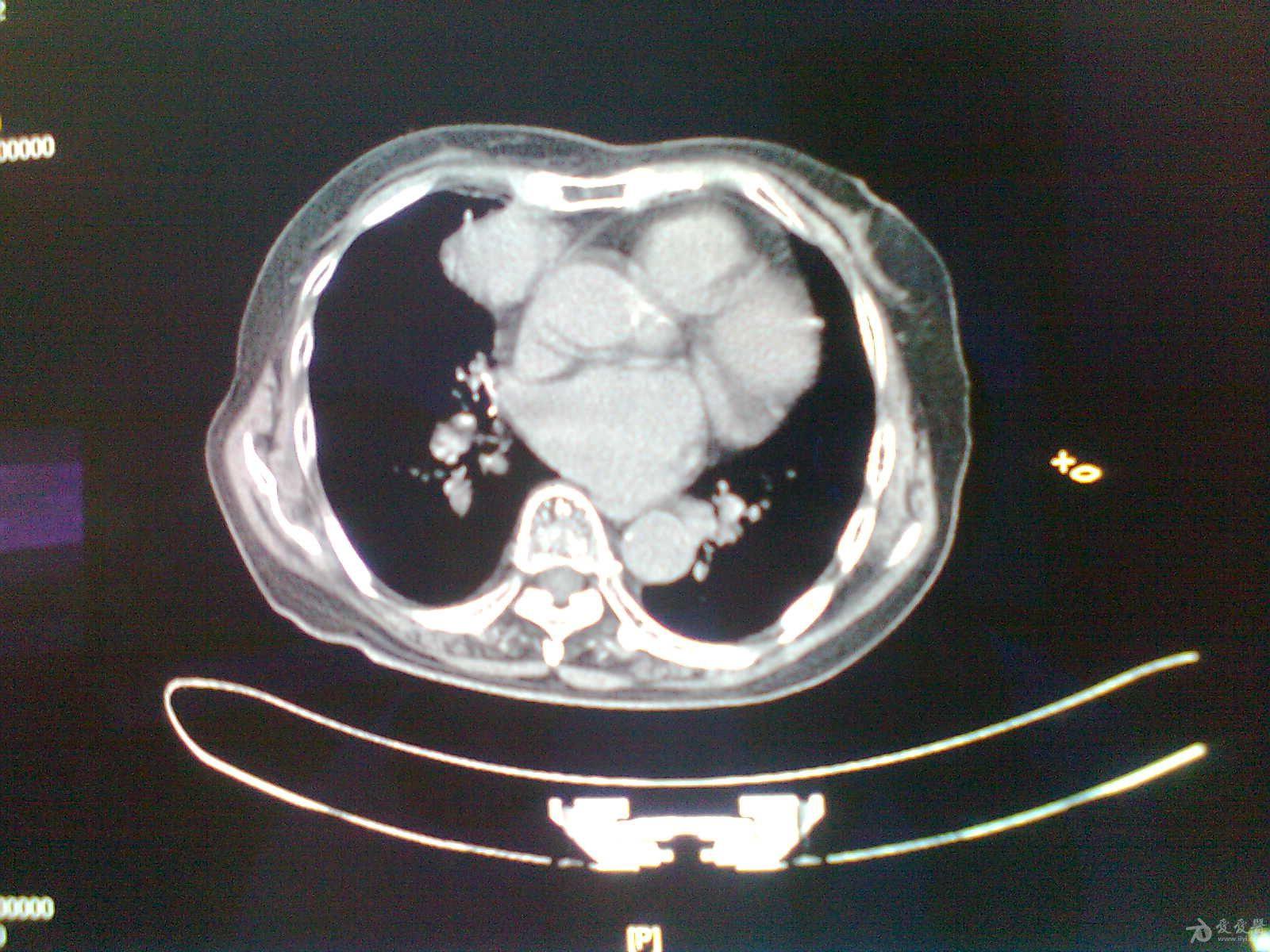
楼主artest2013-11-24 11:33:10男 62岁,右心膈角占位性病变 ct值约
图片尺寸1600x1200
楼主artest2013-11-24 11:33:10男 62岁,右心膈角占位性病变 ct值约
图片尺寸1600x1200
右肺心膈角处囊性病变.请各位老师看看.
图片尺寸744x992
男62岁,右心膈角占位性病变
图片尺寸1600x1200
右心膈角是什么
图片尺寸511x634
主动脉弓 纵隔 肋膈角 心膈角
图片尺寸1080x810
【影像读片】胆石症行腹部ct扫描发现右侧心膈角病灶,请您会诊.
图片尺寸640x743
前部 右 膈 无忧文档 所有分类 高等教育 医学 影像学呼吸系统x线ct读
图片尺寸1080x810
注意右侧心膈角,右下叶不张 的诊断成立.影像科的大夫会看图说话
图片尺寸639x581
【影像读片】胆石症行腹部ct扫描发现右侧心膈角病灶,请您会诊.
图片尺寸1188x1376
病例3:肺血基本正常,肺门影略大,双房影,心膈面延长.
图片尺寸1080x1339
每天学一张ct片(31期)
图片尺寸640x433
中纵隔疾病-胸部ct诊断-医学
图片尺寸752x817
胸部ct解剖入门:如何用左右心室推理出全部纵膈结构?
图片尺寸617x558
增强 ct 示前心膈肿块,边界清楚(红色箭头).
图片尺寸500x411
掌握胸部 ct 影像,你只差这一个图谱的距离
图片尺寸640x480
胸部ct解剖诊断ppt
图片尺寸1080x810
做了胸部ct,说纵隔有很多肿大淋巴结,要不要紧?
图片尺寸537x387
呼吸困难咳嗽6个月瘦30斤竟是肺部感染这个菌
图片尺寸387x354![【病例讨论】肺部阴影 [病例帖]](https://imgs.wantubizhi.com/img/A1A61BAA66193547F3A6DD7D8EE527E95DFC1052F04CC2C413B44CD7A8BBCAB650123F0D20FD276E8C279ECBA68C559D00D344A532C12023B79B5269CA5DF846B9DC05B20985DA794F5E136C299600A192412384D2C4848AA0993CD8F86B1585)
【病例讨论】肺部阴影 [病例帖]
图片尺寸990x714