恶性疟原虫环状体

人红细胞中处于环状期的恶性疟原虫.
图片尺寸640x426
有一种难过叫,我不在这里 ——君安精选案例"散点话疟疾"_疟原虫
图片尺寸1080x720
单环双核,双环双核(瑞士-吉姆萨染色)多个较小疟原虫环状体寄生同一红
图片尺寸1117x726
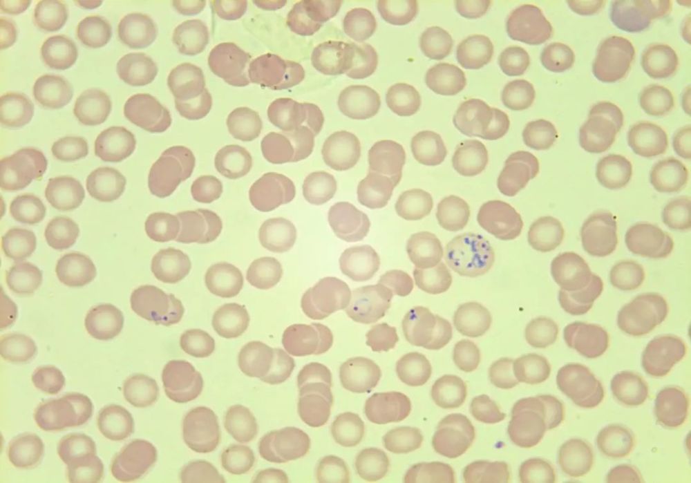
这幅图片展示了红细胞,其中一些被环状体阶段的疟原虫感染.
图片尺寸600x554
求疟原虫图片
图片尺寸4370x1670
恶性疟原虫各个时期形态(图片来源:https://wenku.baidu.
图片尺寸254x339
外周血涂片:典型恶性疟原虫 1 例
图片尺寸640x664
疟原虫疟疾环状状态
图片尺寸1200x800
大滋养体,裂殖体,配子体)恶性疟原虫(环状体,配子体)
图片尺寸1080x1439
疟原虫具有抗药性 e.
图片尺寸281x696
疟原虫切片(环状体和滋养体)_哔哩哔哩 (゜-゜)つロ 干杯~-bilibili
图片尺寸1086x610
恶性疟原虫的介绍
图片尺寸1337x747
恶性疟原虫环状体记了但什么都没记上的实验记录
图片尺寸1762x2048
四种疟原虫镜下图(1)ppt
图片尺寸1080x810
人体疟原虫镜检技ppt
图片尺寸1080x810
恶性疟原虫环状体▼间日疟原虫雄配子体▼间日疟原虫雄配子体▼间日
图片尺寸1080x892
间日疟原虫,卵形疟原虫,三日疟原虫和恶性疟原虫
图片尺寸466x262
图为疟原虫环状体,滋养体 提示疟疾 part 白细胞形态给我们的反馈
图片尺寸1000x699
疟原虫形态恶性疟
图片尺寸960x720
恶性疟原虫环状体▼间日疟原虫雄配子体▼间日疟原虫雄配子体▼间日
图片尺寸1080x1079