慢性支气管炎镜下

显微镜下观察慢性支气管炎
图片尺寸1200x800
带您认识呼吸专业的第三只眼睛——纤维支气管镜
图片尺寸2400x1350
慢性支气管炎课件11幻灯
图片尺寸1080x810
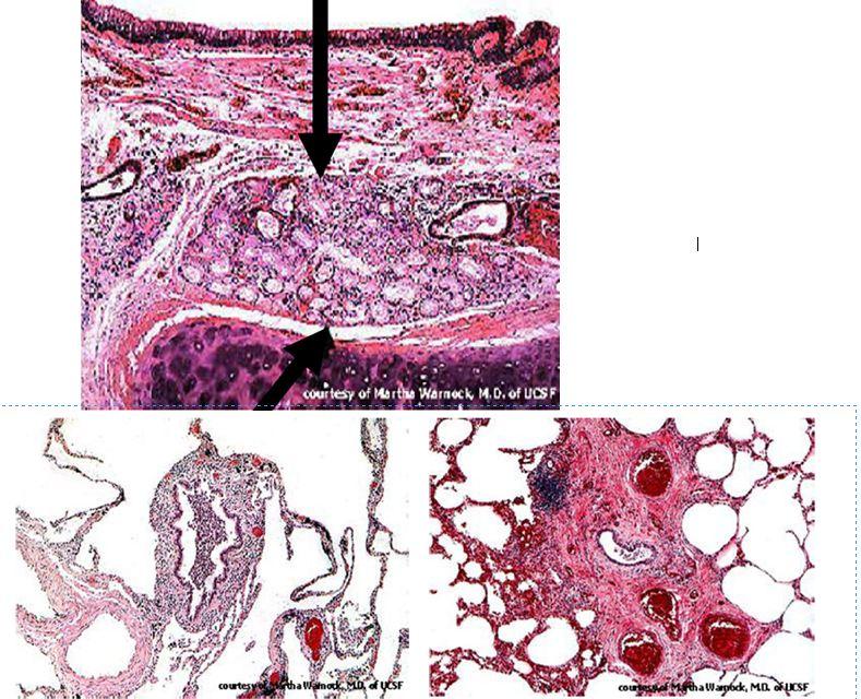
慢性支气管炎显微图片医学显微切片chronicbronchitis慢性支气管炎支
图片尺寸1600x1200
生物病理显微镜切片慢性支气管炎标本白底显微摄影教学素材
图片尺寸1200x800
慢性支气管炎 显微图片
图片尺寸658x494
呼吸内科开展首例支气管镜下气道球囊扩张术
图片尺寸1656x1242
慢性支气管炎 显微图片
图片尺寸658x494
生物病理显微镜切片慢性支气管炎标本白底显微摄影教学素材
图片尺寸1200x800
呼和浩特市第一医院呼吸内二科病例分享——支气管镜下冷冻术2例
图片尺寸981x1194
预约行支气管镜下球囊扩张治疗.
图片尺寸2667x2000
临床上常可发生喘鸣的是慢性支气管炎,支气管哮喘.
图片尺寸750x1000
电子支气管镜下常见异常形态分类
图片尺寸504x489
人体组织, 显示气管炎和鳞状化生为镜下见支气管黏膜的组织学研究
图片尺寸700x990
老年性慢性支气管炎
图片尺寸789x640
慢性支气管炎 显微图片
图片尺寸280x210
第二篇 慢性支气管炎(含阻塞性肺气肿)ppt
图片尺寸1080x810
慢性支气管炎 显微图片
图片尺寸280x210
电子支气管镜下所见如下
图片尺寸1835x1056![【原创】纤维支气管镜镜下形形色色的肺癌百例[小细胞癌篇]](https://imgs.wantubizhi.com/img/A1A61BAA66193547F3A6DD7D8EE527E9BAD0687E9110D20D68C9AF68F09F661023014B61EE1BAEC5DE4663BC6FD5EB5BE3B587A1226F776A415DF90DB0045CF3F45D83B635EB4D0F6C5758DD16973A8B7C69BB337B82084CFBE2CF5930B5ADD7)
【原创】纤维支气管镜镜下形形色色的肺癌百例[小细胞癌篇]
图片尺寸340x340