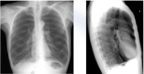
慢阻肺x线

胸部正位片:慢性阻塞性肺气肿,膈下可见游离气体.
图片尺寸2000x2667
p data-id="gnbiynn6kc">慢性阻塞性肺疾病是一种重要的慢性呼吸系统
图片尺寸960x720
格艾选读丨慢性阻塞性肺疾病copd气道炎性改变肺气肿
图片尺寸984x595
只因抱了一下孙子71岁慢阻肺病友住进icu
图片尺寸985x842
最新-慢性阻塞性肺疾病 课件ppt
图片尺寸1080x810
慢阻肺不可以运动?常见误区你中招了吗
图片尺寸1000x824
所有分类 医药卫生 预防医学 copd护理ppt x线检查 正常肺部x片 慢阻
图片尺寸1080x810
全科小讲堂3——慢性阻塞性肺疾病(第2小节)
图片尺寸960x720
阻塞性肺气肿
图片尺寸500x580
第四讲-慢阻肺急性加重期的管理ppt
图片尺寸1080x810
老年慢阻肺急性加重一般措施不能缓解,要警惕自发性气胸
图片尺寸4032x3016
胸部x光片显示慢性感染引起的多个肺泡和囊肿.前视图
图片尺寸1066x1200
慢阻肺的检查方法有哪些?
图片尺寸640x631
病例读片-胸片
图片尺寸1080x810
曾庆思教授慢性阻塞性肺疾病的影像表现及研究进展
图片尺寸492x254
什么类型的肺气肿适合微创手术治疗
图片尺寸719x800
慢性支气管炎属于慢阻肺吗慢性支气管炎怎么发展为肺气肿
图片尺寸600x337
不可忽视,慢阻肺的十三个并发症!
图片尺寸888x1000
慢性支气管炎, 呼吸困难,肺不通气, 橘红这样吃3天呼吸通畅!
图片尺寸640x534
69岁男性慢性咳嗽反复肺炎是何原因
图片尺寸902x884