戈谢细胞

镜下检出的罕见病——中心实验室带你了解戈谢病_粒细胞
图片尺寸705x484
戈谢细胞的形态学特点 (zt自liuxuer战友)
图片尺寸582x384
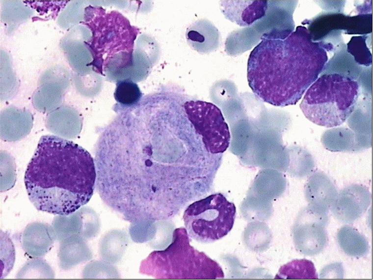
戈谢细胞
图片尺寸760x570
戈谢病(gaucher disease,gd)即葡糖脑苷脂病,是一
图片尺寸600x449
肝脏,脾脏肿大或者中枢神经系统的相关症状,骨髓涂片上发现戈谢细胞
图片尺寸640x480
惊喜明美显微镜相机拍下少见的类戈谢细胞
图片尺寸460x345
协和华美血细胞课堂2戈谢细胞的辨识
图片尺寸471x471
1 临床表现gd可累及全身骨骼,轻重程度不一,其病理改变为戈谢细胞在
图片尺寸2008x475
细胞形态检查与戈谢病
图片尺寸1080x608
戈谢病
图片尺寸220x165
镜下检出的罕见病——中心实验室带你了解戈谢病_粒细胞
图片尺寸712x484
1例戈谢病患儿骨髓细胞形态学图
图片尺寸554x836
图4 镜下染色尼曼-匹克细胞形态图5 基因检测结果▎ 诊断:成人起病
图片尺寸509x543
医学生必认图片检验专业
图片尺寸1080x810
【协和华美血细胞课堂·2】戈谢细胞的辨识
图片尺寸800x2806
学检验的朋友问问这个细胞
图片尺寸1080x1439
戈谢病
图片尺寸220x165
其它 猜图答案 写美篇由于维甲酸诱导分化过程中,大量的apl细胞分化
图片尺寸750x537
戈谢病 (gd) 是一种常染色体隐性遗传病,也是最常
图片尺寸640x606
其它 猜图答案 写美篇由于维甲酸诱导分化过程中,大量的apl细胞分化
图片尺寸743x498