扁平胸ct

扁平胸:自发性气胸后的第3次手术 - 好大夫在线
图片尺寸1184x669
胸部ct平扫
图片尺寸2000x2667
扁平胸合并漏斗胸手术案例
图片尺寸990x517
结核性胸膜炎后大面积漏斗胸合并扁平胸手术
图片尺寸722x420
扁胸综合症
图片尺寸799x682
病例挑战:罕见原因引起胸痛干咳一例
图片尺寸630x630
扁平胸合并漏斗胸的手术案例
图片尺寸445x616
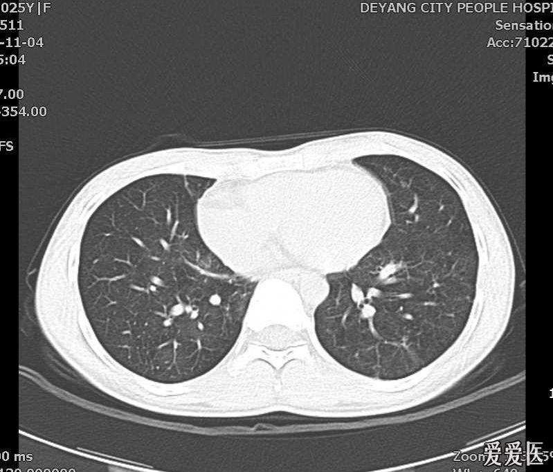
10.1胸部平扫-肺窗
图片尺寸1070x1070
扁平胸合并漏斗胸的手术案例
图片尺寸403x605
上医院检查一下,大夫说我有扁平胸,并且我拍了一张x光,发现我的椎骨到
图片尺寸500x542![【读片】胸部平片 ct,结果已公布.08-03-10 [病例帖]](https://imgs.wantubizhi.com/img/A1A61BAA66193547F3A6DD7D8EE527E9ADE7EF5DCD56E7E573A92804CD10C9B0241C1F570727208F44C3790E2FB3619396FEA039AB39D0957505C918246917D5427EBF7A30B60249C2101EC167CF0FE57367807523FC1D3E2D8C5543F3AE1348)
【读片】胸部平片 ct,结果已公布.08-03-10 [病例帖]
图片尺寸1233x1434
扁平胸会压迫心脏吗?
图片尺寸1944x2592
胸部ct平扫
图片尺寸2000x2667
讨论胸部平片请讨论ct已经上传
图片尺寸491x600
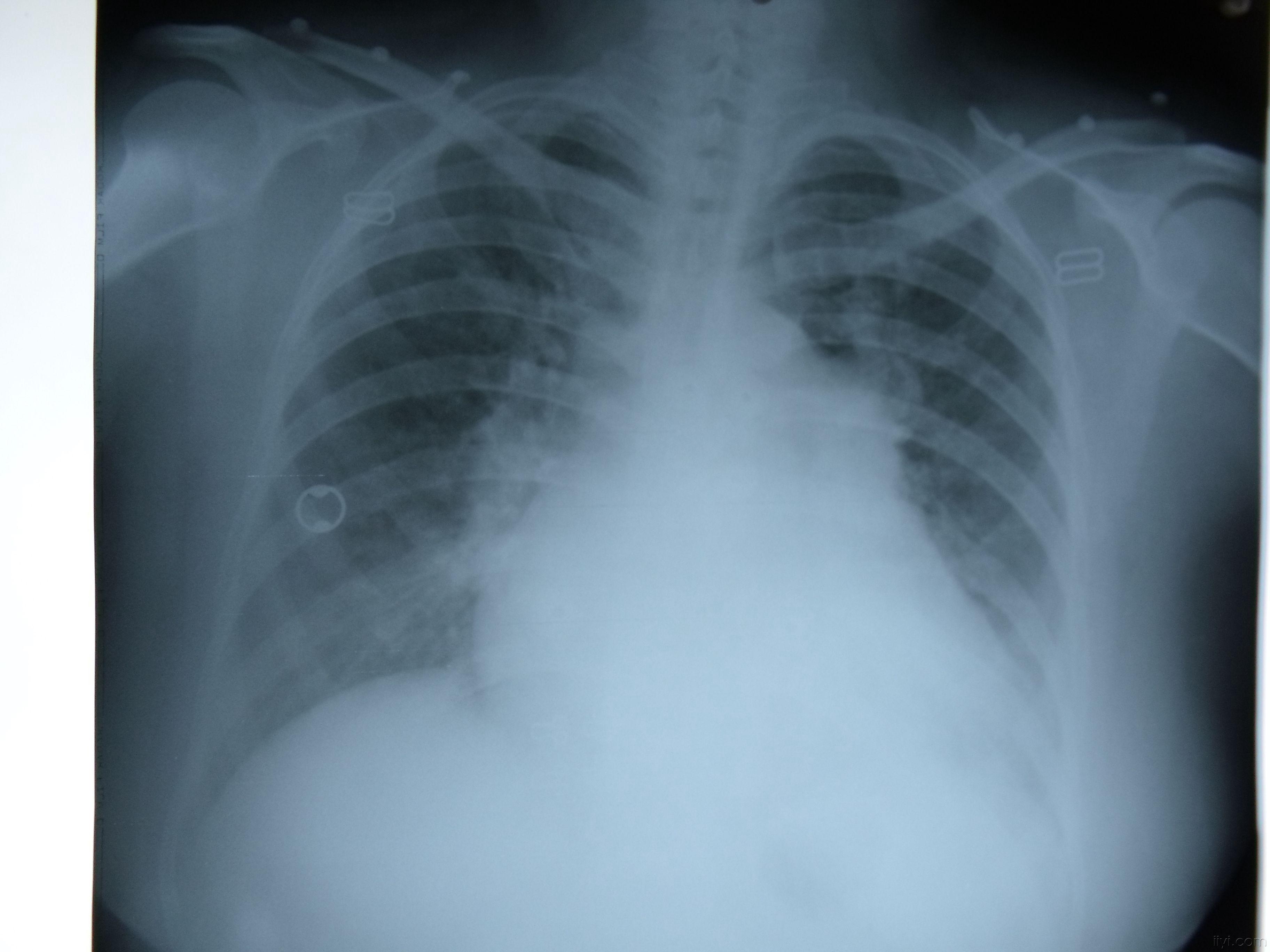
女 咳嗽一周,胸部平片
图片尺寸3648x2736
胸部ct平扫
图片尺寸1080x810
胸部平片,欢迎讨论
图片尺寸2048x1536
胸部ct平扫
图片尺寸2000x2667
胸部ct平扫,能看懂的麻烦说下什么病
图片尺寸600x800
胸部ct平扫
图片尺寸3968x2976