拇指正位侧位图片

5,拇指正位 2014-3-3 第9页 (共71页,当前第9页) 你可能喜欢 摄影
图片尺寸1080x810
患者女 41岁,因右拇指肿痛十年,加重一月入院 查体:右拇指肿胀,压痛
图片尺寸640x1070
正常腕关节
图片尺寸1242x1863
例四: 手正位未见异常.
图片尺寸639x524
(图) 成人手部正,侧位×线像
图片尺寸1406x895
腕关节正位
图片尺寸436x347
显示标志竖起大拇指女性手的侧面图
图片尺寸1024x678
拇指前后位
图片尺寸221x300
竖拇指图片
图片尺寸274x350
手指x光片
图片尺寸1024x1024
春节蓬莱中医人为您健康护航~~~拇指指尖再植
图片尺寸600x800
腕关节正侧位(右侧)
图片尺寸960x1280
用医院的x光扫描手指
图片尺寸1200x809
这个就叫"骨龄":拍一张左手正位片,我院儿科每位医生都可以为您评估
图片尺寸1600x1200
在正位上可以观察尺骨有无出现变异情况,月骨和尺骨头是否有影像学
图片尺寸1080x808
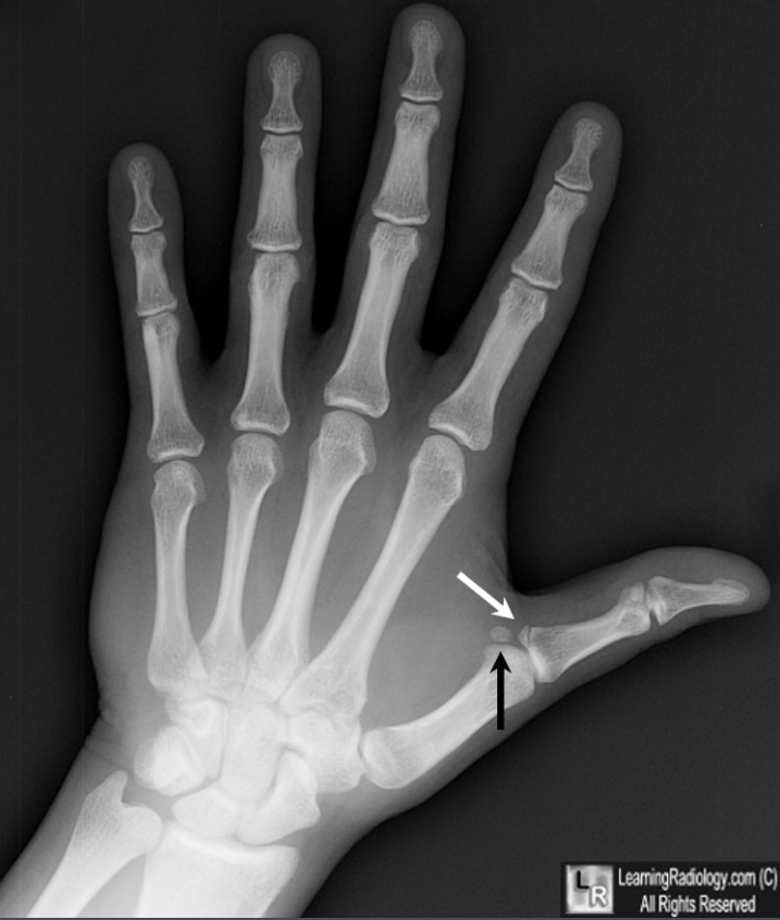
滑雪者拇指可能伴随移位的骨折 | learningradiology永不言弃?
图片尺寸717x846
我们可以正常站立,观察自己的大脚趾甲面有没有向小脚趾方向偏转,再
图片尺寸1080x1080
术前侧位片(下图)术后正位片(下图)术后侧位片(下图)术后45天体表像
图片尺寸600x800
掌指关节水平桡偏90°畸形,掌指关节脱位,虎口挛缩,拇指外展功能丧失
图片尺寸1080x1620
左手拇指离断能否治愈,听听患者怎么说
图片尺寸1080x1439