拍胃片

胃x线象
图片尺寸960x1200
5 分钟读懂消化道造影片(胃篇)
图片尺寸640x484
医学美图消化道造影片之胃篇
图片尺寸600x597
帮忙看看胃钡餐片
图片尺寸2560x1920
在西安第四军医大学西京医院拍的胃镜片,胃的充血水肿糜烂严重程度
图片尺寸1080x1440
帮忙看看胃钡餐片
图片尺寸2560x1920
5 分钟读懂消化道造影片(胃篇)
图片尺寸640x484
答对这 8 个问题 胃部读片才算过关
图片尺寸592x720
吃煎馒头片,把胃划伤了,不知道是伤口还是溃疡,胸口就跟噎着东西一样
图片尺寸540x720
5 分钟读懂消化道造影片(胃篇)
图片尺寸640x484
人体肠胃的x光片
图片尺寸952x1200
济南一5岁女童误吞190颗磁珠胃内留置俩月医生惊呼奇迹
图片尺寸481x615
1岁幼儿频繁呕吐很多医院查不出毛病拍了片子后医生大吃一惊胃不见了
图片尺寸531x340
邓女士的ct显示胃泡在右
图片尺寸1056x1297
医疗医院x射线腰痛脊柱和臀部创伤扫描也显示胃和器官.
图片尺寸682x1023
胃有炎?不是难题
图片尺寸650x487
医疗医院x射线腰痛脊柱和臀部创伤扫描也显示胃和器官.
图片尺寸682x1023
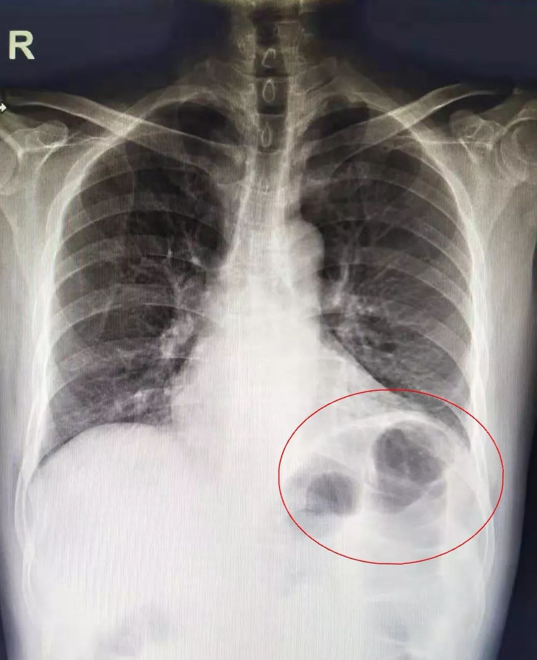
今天拍的x光片显影,胃部有巨大的气泡,把胃撑的肿胀.
图片尺寸500x333
荷兰女子胃痛难忍医生从其胃中取出78把餐具
图片尺寸600x568
胃和肠道的钡x光片
图片尺寸941x1200