拔牙后恢复过程

拔牙全程(多图慎点!)恢复期全过程
图片尺寸750x921
拔牙全程(多图慎点!)恢复期全过程
图片尺寸734x740
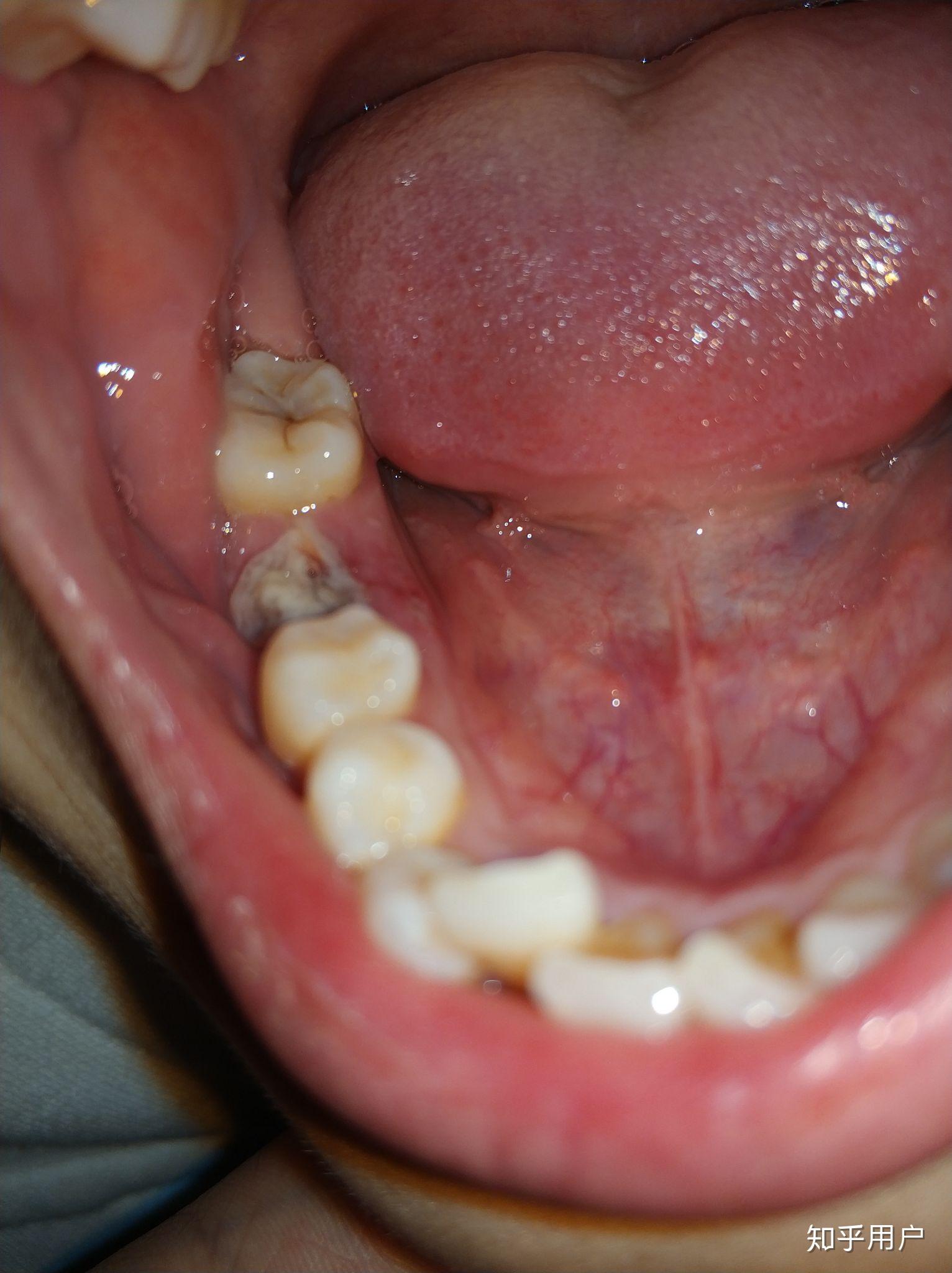
拔牙后恢复过程全解
图片尺寸1532x2048
拔智齿后的护理和恢复
图片尺寸1054x1406
从拔智齿洞恢复过程图解看,拔完智齿后7,10,14,30天伤口恢复程度
图片尺寸515x387
拔牙全程(多图慎点!)恢复期全过程
图片尺寸750x705
正畸拔牙一个月牙洞恢复情况
图片尺寸1080x1438
拔牙全程(多图慎点!)恢复期全过程
图片尺寸750x1334
一例左上1拔牙窝保存后种植修复病例
图片尺寸638x378
拔牙恢复过程记录
图片尺寸1280x2385
拔牙5天后牙窝愈合过程图,牙槽竟然如此神奇
图片尺寸450x424
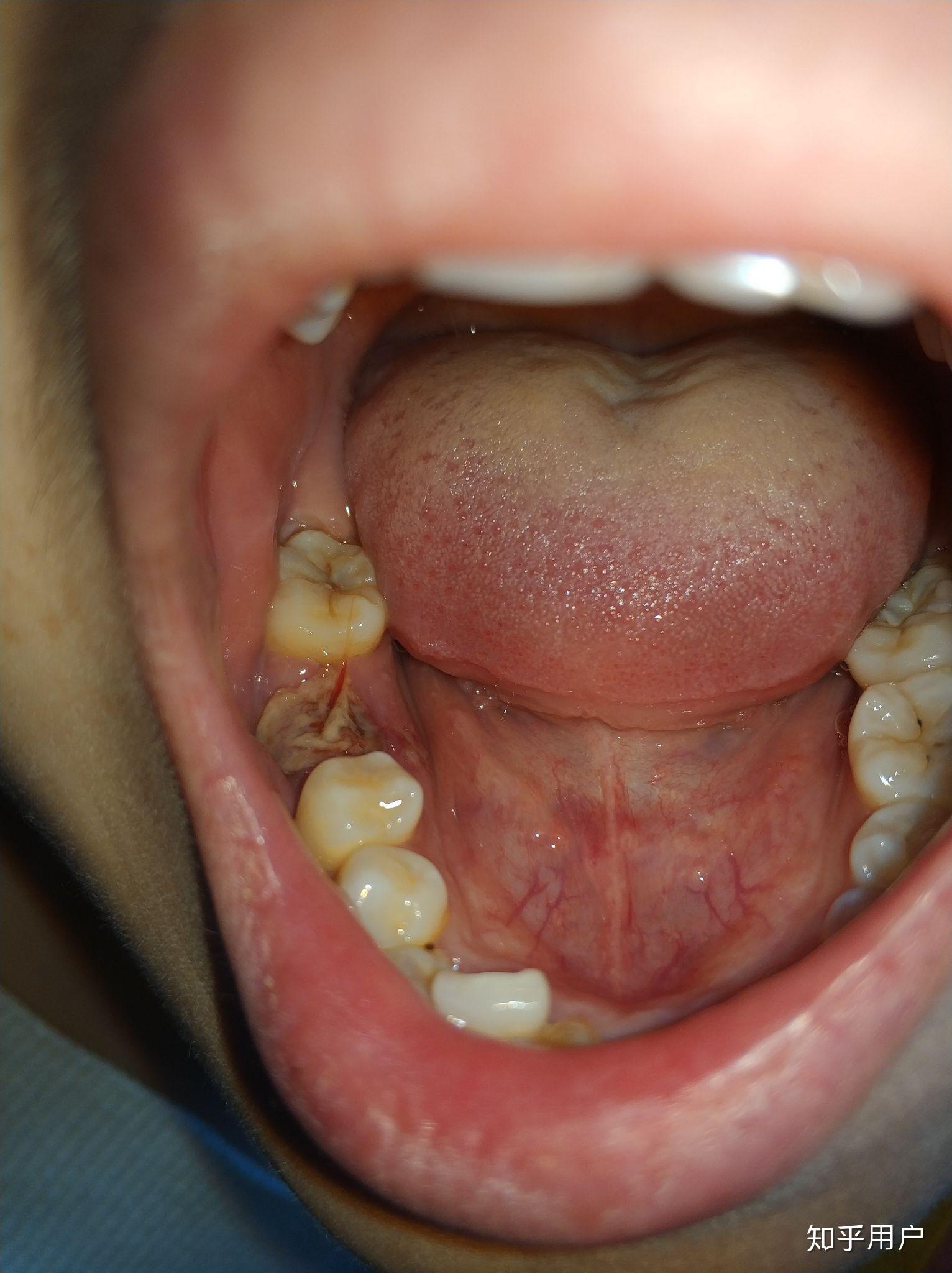
拔牙后恢复过程全解
图片尺寸1532x2048
拔智齿恢复过程(多图预警,慎点!) - 知乎
图片尺寸852x922
拔智齿洞恢复过程14天图解(拔牙7天恢复图解详情)
图片尺寸482x345
一例左上1拔牙窝保存后种植修复病例
图片尺寸635x387
拔牙后恢复过程全解
图片尺寸1532x2048
拔智齿后你吃什么愈合过程记录
图片尺寸1713x1706
拔智齿恢复过程(多图预警,慎点!) - 知乎
图片尺寸1463x1467
拔牙后恢复过程全解
图片尺寸1532x2048
看拔牙后窟窿恢复图了解原因
图片尺寸500x506