拔牙正畸脸型毁了

有拔智齿脸部凹陷的嘛
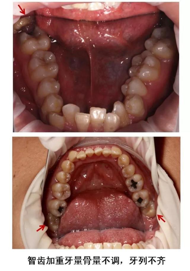
图片尺寸600x450
拔牙正畸那点事,看完你就都明白了
图片尺寸1080x1875
拔牙正畸脸型塌陷图
图片尺寸750x500
那么该如何避免正畸过程中牙套脸的出现呢?
图片尺寸880x491
从未后悔给小孩牙齿矫正,不信看戴牙套拔牙后的脸型变化
图片尺寸517x183
明星拔完智齿 脸竟变成这样:到底该不该拔?
图片尺寸440x690
拔虎牙或致变老变丑 牙齿正畸是治疗最佳方式
图片尺寸450x550
健康问与答
图片尺寸720x540
望周知:拔牙后千万不要照镜子,不然会被自己笑死!
图片尺寸605x618
正畸拔牙day1
图片尺寸1080x1439
矫正 矫正时长:596天 拔牙
图片尺寸800x1067
拔智齿脸都要肿成这样么
图片尺寸1484x718
这些明星拔完智齿后脸竟然变成这样智齿到底该不该拔
图片尺寸987x494
今天和你说清楚|智齿|拔牙|邻牙_新浪新闻
图片尺寸641x912
2ch日本妹子拔掉智齿后脸上大变样
图片尺寸744x1229
拔牙矫正改善凸嘴的奥秘浅析
图片尺寸1000x562
拔牙完正畸牙吃什么呢
图片尺寸1080x1080
国外正畸不拔牙?凭什么我们就要拔牙?
图片尺寸605x439
20岁女子出生后面部畸形 治疗后两门牙间距1.7厘米
图片尺寸605x442
拔牙矫正可以改变脸型
图片尺寸600x423