支抗钉露龈笑

有露龈笑的看过来|支抗钉辅助压低前牙,解决露龈笑_哔哩哔哩_bilibili
图片尺寸1504x940
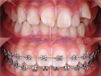
嘴突露龈笑深覆合,别犹豫打就完了!
图片尺寸400x267
刘雯为了她的露龈笑, 在嘴里打支抗钉?
图片尺寸750x1334
① 露龈笑患者需要利用种植钉压低上前牙,缩短牙龈高度;3,需要压低前
图片尺寸690x690
露龈微笑切牙根间种植钉植入步骤(原创)
图片尺寸448x335
支抗钉可以改善露龈笑是真的吗?看我矫正效果就知道了!
图片尺寸500x424
成人骨性前突告别手术,拔牙矫正加支抗钉美到你害怕!
图片尺寸800x564
牙齿矫正使用支抗钉可以改善露龈笑吗?
图片尺寸500x262
支抗钉可以改善露龈笑是真的吗?看我矫正效果就知道了!
图片尺寸500x429
嘴突露龈笑深覆合,别犹豫打就完了!
图片尺寸400x400
97期隐形牙套骨钉治疗露龈笑龅牙仅14次复诊
图片尺寸1080x608
露龈笑 深覆合要怎样矫正呢?打支抗钉疼吗?
图片尺寸1278x720
谈谈我露龈笑做正畸的费用和效果没反弹而且改善程度挺明显的
图片尺寸558x274
89期露龈笑骨性凸矫正女汉子牙医的变美经历
图片尺寸640x360
谈谈我露龈笑做正畸的费用和效果没反弹而且改善程度挺明显的
图片尺寸539x319
97期隐形牙套骨钉治疗露龈笑龅牙仅14次复诊
图片尺寸1080x608
97期隐形牙套骨钉治疗露龈笑龅牙仅14次复诊
图片尺寸1080x574
本来年前就要去打骨钉用于牵拉牙齿改善深覆合和露龈笑,但由于自己的
图片尺寸600x800
嘴突露龈笑深覆合,别犹豫打就完了!
图片尺寸400x303
大表姐嘴里打的支抗钉听说可以拯救露龈笑
图片尺寸747x736