支气管扩张双轨征

支气管扩张影像征像
图片尺寸1080x810
支气管扩张的ct检查表现 - 医学知识与沟通交流 - 临药网 - powered
图片尺寸600x1362
支气管双轨征(轨道征).jpg
图片尺寸570x402
经典图谱,详细解说支气管扩张ct小诀窍:学不会我拜你为师!
图片尺寸512x410
"印戒征": 扩张支气管与ct扫描层面垂直时 (正常同级别的肺动脉
图片尺寸1080x810
经典图谱,详细解说支气管扩张ct小诀窍_腾讯新闻
图片尺寸640x496![其中均可见多发支气管扩张和双轨征[3,4]](https://imgs.wantubizhi.com/img/735A5D1F980B52A636CC46F12F2D1A736C35567952C31D9080543EEA45BCCEE454EB7ABD4071997B5354E682E0F804EBEFD5A89A33CC8A125FE18F0AB5BA839A6A52C0555B69E5724D0F66F895C522A539C68B7BFF3F975C2481B9E80ECEA820)
其中均可见多发支气管扩张和双轨征[3,4]
图片尺寸529x280
下肺可见增厚的支气管壁相互平行,管径一致,形成典型的双轨征(长箭头)
图片尺寸572x286
支气管扩张影像征像
图片尺寸1080x810
支气管炎相关支气管壁增厚形成的双轨征在胸部ct中更为直观,有时也
图片尺寸300x289
经典图谱详细解说支气管扩张ct小诀窍学不会我拜你为师
图片尺寸512x408
印戒征是支气管扩张的典型ct表现,它是支气管壁弹性组织和肌肉组织
图片尺寸340x355
支气管扩张的诊断
图片尺寸590x330
图2ct横断面示右下肺支气管扩张,部分显示轨道征(箭头)三,支气管碘油
图片尺寸350x258
图文详析支气管扩张的机制影像特征和病因
图片尺寸1080x665
一文帮你搞定!_支气管
图片尺寸640x480
医学影像-经典胸片展示之支气管扩张
图片尺寸475x456
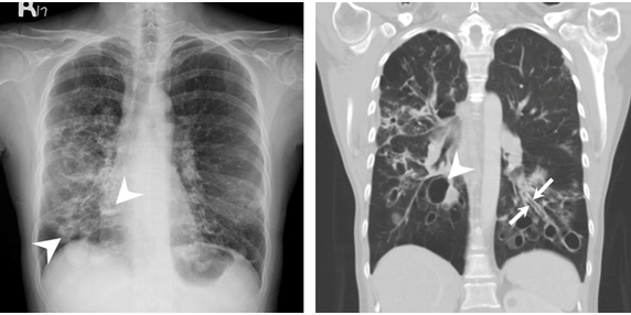
细节显示右肺上叶柱状支气管扩张而呈现的轨道征( 箭头);c.
图片尺寸591x306
熟练了可以肉眼观察判断,小双轨状,当然没有明显支扩.
图片尺寸596x466
2,"印戒征":扩张支气管与ct扫描层面垂直时 (正常同级别的肺动脉
图片尺寸1055x789